Comunicación
      Nº 010

IICVHAPp.gif (9537 bytes)

IndiceIndice

CARCINOMA BASALOIDE DEL ESOFAGO
Presentación de 7 casos con estudio inmunohistoquimico

*LESPI, Pablo Javier, +DRUT, Ricardo

Comentarios

[TITULO] [INTRODUCCIÓN] [MATERIAL Y MÉTODOS] [RESULTADOS] [ICONOGRAFÍA] [ICONOGRAFÍA-2] [DISCUSIÓN] [BIBLIOGRAFÍA]

RESULTADOS

ICONOGRAFÍA-2


ICONOGRAFÍA

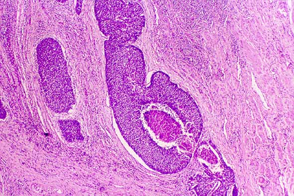
fig. 1
Figura 1. Nidos de células basaloides que muestran depósitos intercelulares de material de tipo membrana basal. Se aprecia ademas carcinoma in situ en superficie (H E, x 40).

 

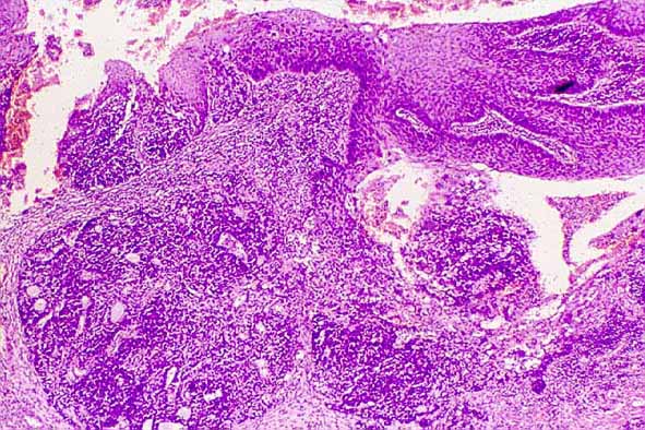
fig. 2
Figura 2. Nidos de células basaloides con empalizada periférica y necrosis de tipo comedocarcinoma (H E, x 40).

 

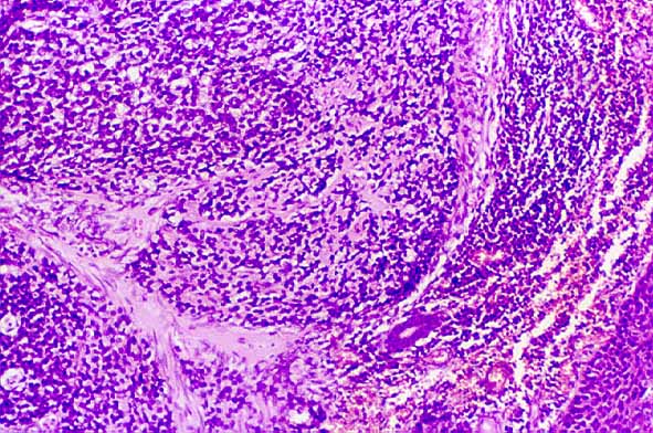
fig. 3
Figura 3. Material eosinofilo tipo membrana basal (H E, x 40).

 

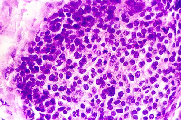
fig. 4
Figura 4. Células con núcleos hipercromáticos, leve pleomorfismo y presencia de numerosas figuras mitóticas (H E, x 400).

 


[TITULO] [INTRODUCCIÓN] [MATERIAL Y MÉTODOS] [RESULTADOS] [ICONOGRAFÍA] [ICONOGRAFÍA-2] [DISCUSIÓN] [BIBLIOGRAFÍA]

RESULTADOS

ICONOGRAFÍA-2


*LESPI, Pablo Javier, +DRUT, Ricardo
Copyright © 1998. Reservados todos los derechos.