Comunicación
      Nº 003

IICVHAPp.gif (9537 bytes)

IndiceIndice

PRESENTACIÓN DE UN CASO DE LINFOMA DE HODGKIN VARIEDAD FIBROBLASTICA CON PATRON DE FIBROHISTIOCITOMA MALIGNO.
Correlación de P.A.A.F con Biopsia.

T.G.Miralles; M.V.Folgueras; M.P.Carrasco; C.Turiel; A.Astudillo.

Comentarios

[TITULO] [INTRODUCCIÓN] [RESUMEN DE HISTORIA CLÍNICA] [ICONOGRAFÍA] [ICONOGRAFÍA-2] [COMENTARIOS] [BIBLIOGRAFÍA]

ICONOGRAFÍA

COMENTARIOS


ICONOGRAFÍA-2

fig. 9
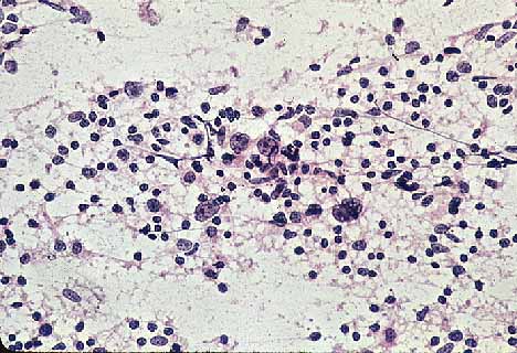
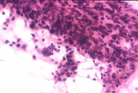
Fig 9.- P.A.A.F de adenopatia del caso presentado. Fibroblastos-like y célula de R-E.H&EX20.

 

fig. 9a
Fig 9a.- P.A.A.F perteneciente al caso .Area típica de un LH con células polilobadas, alguna c plasmatica y escasos eosinofilos.H&EX20.

 

fig. 10
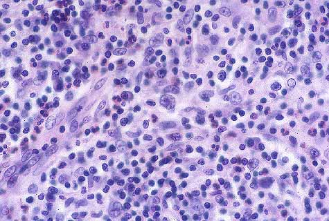
Fig 10.- Aspecto histologico en el area con imagen típica de LH en que se observan celulas de H junto con eosinofilos, plasmaticas y algún fibroblasto.H&EX20.

 

fig. 11
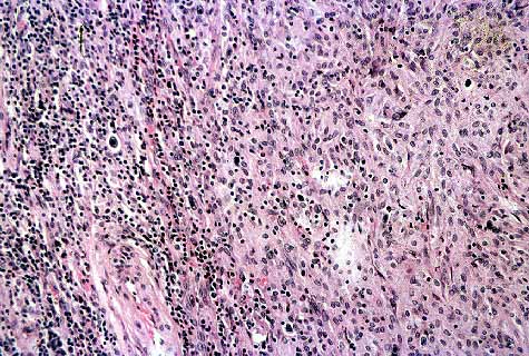
Fig 11.-Histologia perteneciente a área de transición entre aspecto de LH y pseudosarcoma. H&EX20.

 

fig. 12
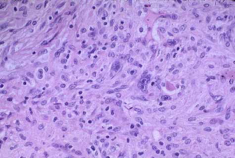
Fig 12.- Aspecto con abundantes células de aspecto de fibroblastos, entre ellas observamos algunas células de H.H&EX20.

 

fig. 13
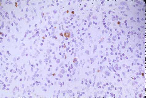
Fig 13. Presencia de células CD15 positivas en el área con aspecto fibroblastico.Tinción de Avidina Estreptoavidina X 40.

 

fig. 14
Fig 14.- Aspecto histologico en que el linfoma presenta un patrona esteriforme que semeja un FHM. H&EX40.

 


[TITULO] [INTRODUCCIÓN] [RESUMEN DE HISTORIA CLÍNICA] [ICONOGRAFÍA] [ICONOGRAFÍA-2] [COMENTARIOS] [BIBLIOGRAFÍA]

ICONOGRAFÍA

COMENTARIOS


T.G.Miralles; M.V.Folgueras; M.P.Carrasco; C.Turiel; A.Astudillo.
Copyright © 1998. Reservados todos los derechos.