Comunicación
      Nº 003

IICVHAPp.gif (9537 bytes)

IndiceIndice

PRESENTACIÓN DE UN CASO DE LINFOMA DE HODGKIN VARIEDAD FIBROBLASTICA CON PATRON DE FIBROHISTIOCITOMA MALIGNO.
Correlación de P.A.A.F con Biopsia.

T.G.Miralles; M.V.Folgueras; M.P.Carrasco; C.Turiel; A.Astudillo.

Comentarios

[TITULO] [INTRODUCCIÓN] [RESUMEN DE HISTORIA CLÍNICA] [ICONOGRAFÍA] [ICONOGRAFÍA-2] [COMENTARIOS] [BIBLIOGRAFÍA]

RESUMEN DE HISTORIA CLÍNICA

ICONOGRAFÍA-2


ICONOGRAFÍA

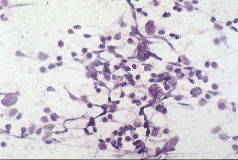
fig. 1
Fig 1.- Presencia de Histiocitos. Células que con frecuencia acompañan al LH y deben ser diferenciadas de la célula de Hodgkin.H&EX20.

 

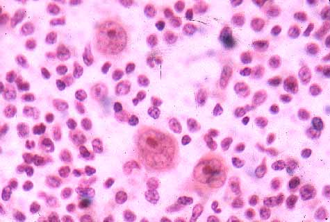
fig. 2
Fig 2.- P.A.A.F de una adenopatia en donde observamos linfocitos de aspecto maduro junto con una celula LH perteneciente a un LH de predominio linfocitico. H&E X 20.

 

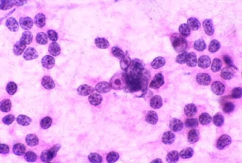
fig. 3
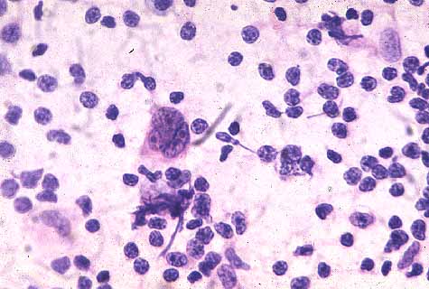
Fig 3.- P.A.A.F de LH. Presencia de células de grandes núcleos con nucleolo eosinofilico prominente. Células de Hodgkin. H&EX40.

 

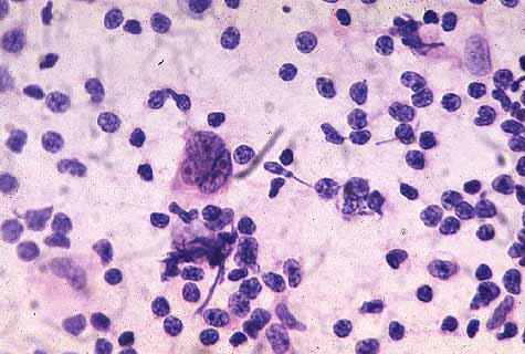
fig. 4
Fig 4.-Celulas de aspecto lacunar uni y nucleadas que presentan núcleos lobados y nucleolos prominentes. H&EX40.

 

fig. 5
Fig 5.-P.A.A.F de LH con abundante material fibrilar (colágeno) en el fondo. Atrapadas en el se ven células de Hodgkin. P.A.A.F correspondiente al subtipo esclero-nodular.H&EX200.

 

fig. 6
Fig 6.- Linfocitos maduros, algún histiocito y células polilobadas de R-E.H&EX40.

 

fig. 7
Fig 7.- LH de Depleción Linfocitica. En esta imagen observamos la presencia de 7 células neoplasicas.H&EX20.

 

fig. 8
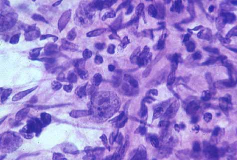
Fig 8.- P.A.A.F de adenopatia cervical. Observamos abundantes fibroblastos con alguna célula polilobada de H.Imagen de pseudosarcoma.H&EX40.

 


[TITULO] [INTRODUCCIÓN] [RESUMEN DE HISTORIA CLÍNICA] [ICONOGRAFÍA] [ICONOGRAFÍA-2] [COMENTARIOS] [BIBLIOGRAFÍA]

RESUMEN DE HISTORIA CLÍNICA

ICONOGRAFÍA-2


T.G.Miralles; M.V.Folgueras; M.P.Carrasco; C.Turiel; A.Astudillo.
Copyright © 1998. Reservados todos los derechos.