Seminario
Nº 004

IICVHAPp.gif (9537 bytes)

IndiceIndice

Varón de 7 años de edad con tumoración cérvico-mediastínica.

Dr. Juán Luis Afonso; Dr. Laureano León; Dr. Miguel Andujar

Complejo Hospitalario Materno-Infantil de Las Palmas
España

[HISTORIA CLINICA] [ANATOMÍA PATOLÓGICA] [ICONOGRAFÍA] [DIAGNÓSTICO]

HISTORIA CLINICA

DIAGNOSTICO


ICONOGRAFÍA

fig. 1
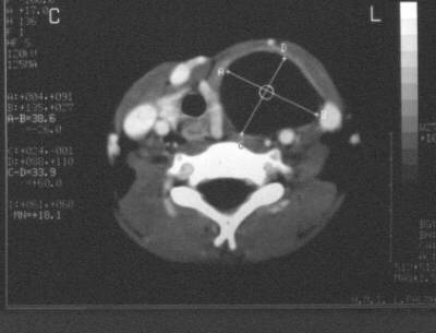
Figura 1. Tomografía axial computarizada (TAC) a nivel cervical. Se puede apreciar un componente quístico predominante.

 

fig. 2
Figura 2. Tomografía axial computarizada (TAC) a nivel dorsal.

 

fig. 3
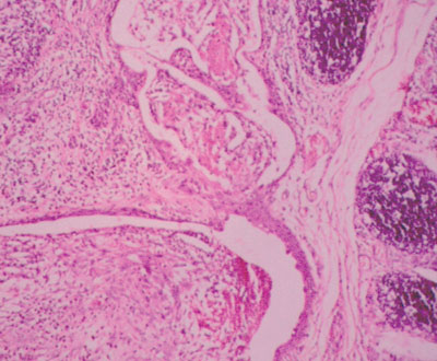
Figura 3. Panorámica de la parte sólida del tumor, en la que se aprecia tejido tímico y areas de fibrosis no bien definidas. (H-E, x10)

 

fig. 4
Figura 4. Detalle de una zona de fibrosis con formación de cristales de colesterol. (H-E, x20)

 

fig. 5
Figura 5. Area quística en la que se observa un recubrimiento por epitelio escamoso. (H-E, x20)

 

fig. 6
Figura 6. Detalle de una zona de recubrimiento del quiste con hiperplasia pseudoepiteliomatosa. (H-E, x40)

 


Diagnost.gif (2084 bytes) DIAGNÓSTICO


[HISTORIA CLINICA] [ANATOMÍA PATOLÓGICA] [ICONOGRAFÍA] [DIAGNÓSTICO]

HISTORIA CLINICA

DIAGNOSTICO


Dr. Juán Luis Afonso; Dr. Laureano León; Dr. Miguel Andujar
Copyright © 1998. Reservados todos los derechos.
Última actualización: domingo 5 de julio de 1998