Seminario
Nº 001

IICVHAPp.gif (9537 bytes)

IndiceIndice

Niña de ocho años con tumoración en pantorrilla izquierda

Dr. Juan Luís Afonso; Dr. Miguel Sánchez; Dr. José Mª de Lera

Hospital Materno-Infantil de Las Palmas.
España

[HISTORIA CLINICA] [ANATOMÍA PATOLÓGICA] [ICONOGRAFÍA] [ICONOGRAFÍA-2] [DIAGNÓSTICO]

Indice de Seminarios

DIAGNOSTICO


ICONOGRAFÍA (1 de 2)

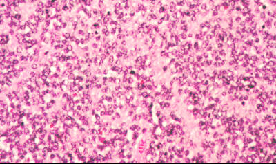
fig. 1
Figura 1. Tumor de células redondas pequeñas. (H-E, x20)

 

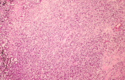
fig. 2
Figura 2. Patrón pseudoalveolar de las células redondas pequeñas, observándose la atipia importante (H-E, x40)

 

fig. 3
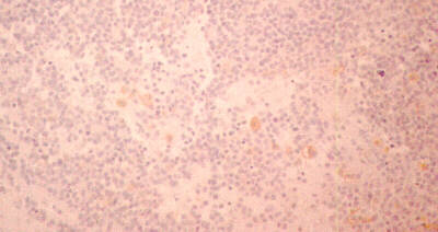
Figura 3. Desmina (x40)

 

fig. 4
Figura 4. Actina. (x20)

 


Diagnost.gif (2084 bytes) DIAGNÓSTICO


[HISTORIA CLINICA] [ANATOMÍA PATOLÓGICA] [ICONOGRAFÍA] [ICONOGRAFÍA-2] [DIAGNÓSTICO]

Indice de Seminarios

DIAGNOSTICO


Dr. Juan Luís Afonso; Dr. Miguel Sánchez; Dr. José Mª de Lera
Copyright © 1998. Reservados todos los derechos.
Última actualización: sábado 4 de julio de 1998