Póster
Nº 095

IICVHAPp.gif (9537 bytes)

IndiceIndice

Un caso de Tumor de Células Germinales Mixto Maligno de Mesenterio e Intestino Delgado.

Case of Malignant Mixed Germ Cell Tumor of Mesentery and Small Bowel

Mike Slate, M.D and Victorino G. Martin, M.D.

Comentarios

[TITULO] [PRESENTACION DEL CASO] [ICONOGRAFÍA]

PRESENTACION DEL CASO

TITULO


ICONOGRAFÍA

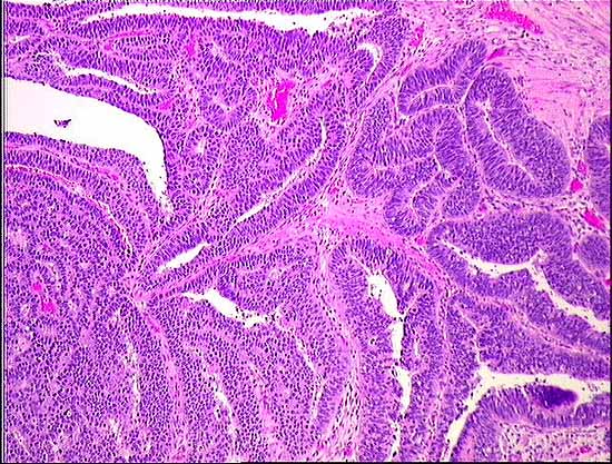
fig. 1
Figura 1. Diferenciación endometrioide.

 

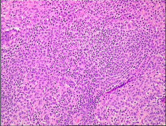
fig. 2
Figura 2. Diferenciación rabdoide.

 

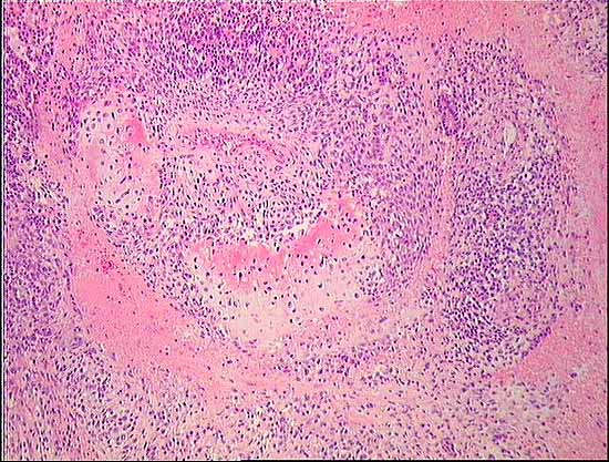
fig. 3
Figura 3. Areas con formación de cartílago y hueso.

 


[TITULO] [PRESENTACION DEL CASO] [ICONOGRAFÍA]

PRESENTACION DEL CASO

TITULO


Mike Slate, M.D and Victorino G. Martin, M.D.
Copyright © 1998. Reservados todos los derechos.