Macromastia adolescente con hiperplasia estromal pseudoangiomatosa
Lourdes Cuesta, Alfredo López Cousillas, Conchita De Miguel , Begoña Reparaz

ICONOGRAFIA
 |
|
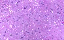
Figura 1. |
 |
|
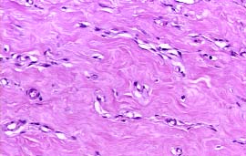
Figura 2. |
 |
|
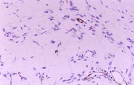
Figura 3. |
 |
|
Figura 4. |
 |
|
Figura 5. |
Lourdes Cuesta, Alfredo López Cousillas, Conchita De Miguel , Begoña Reparaz
Copyright © 1998. Reservados todos los derechos.