HEMATOMA PERIRRENAL ESPONTANEO ORIGINADO SOBRE UN ONCOCITOMA RENAL.
Rafael E. Carvia, Mónica Salmerón, Carolina Carvia(*), Francisco Arrebola, Carmen Casañas, Raimundo G. Del Moral, José Aneiros.

ICONOGRAFÍA
 |
|
Fig. 1: Tomografía axial computerizada espiral con contraste intravenoso. Se observa un riñón izquierdo aumentado de tamaño, con retraso del nefrograma y área heterogénea en su cara lateral donde no se identifica parte del borde renal. El riñón se encuentra desplazado medialmente por una masa densa, confinada por la fascia renal que se corresponde con un hematoma subcapsular y perirrenal. |
 |
|
Fig. 2: Corte transversal de la pieza de nefrectomía en la que se aprecia una tumoración bien circunscrita y delimitada del parénquima renal. Obsérvese como la lesión muestra una zona de color pardo próxima a la corteza renal correspondiente al tumor y otra hemorrágica que se continuaba hacia el espacio perirrenal. Compárese con la imagen tomográfica de la fig. 1. |
 |
|
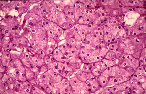
Fig. 3: Imagen histológica con la clásica disposición organoide de células de amplio citoplasma eosinófilo y granulado con núcleos redondos, vesiculosos y sin rasgos de atipicidad (Hematoxilina y Eosina, x200). |
Rafael E. Carvia, Mónica Salmerón, Carolina Carvia(*), Francisco Arrebola, Carmen Casañas, Raimundo G. Del Moral, José Aneiros.
Copyright © 1998. Reservados todos los derechos.