CARCINOMA CORTICAL SUPRARRENAL GIGANTE.
Rafael E. Carvia, Mónica Salmerón, Carolina Carvia(*), Marco Masseroli, Mª Dolores Cruz, José Gómez-Jiménez, Mercedes Gómez-Morales.

ICONOGRAFÍA
 |
|
Fig. 1: Corte axial en secuencia T2 en el que se observa una gran masa, de contorno bien definido con señales heterogéneas que sugieren áreas de hemorragia y necrosis. La lesión ocupa la totalidad del hemiabdomen, cruza la línea media y desplaza las estructuras vecinas. |
 |
|
Fig. 2: Imagen macroscópica de un corte de la tumoración en la que se aprecian áreas parduzcas de hemorragia y amarillentas de necrosis. Obsérvese la correlación con las señales heterogéneas de la resonancia magnética nuclear de la fig 1. |
 |
|
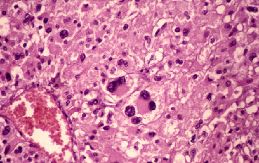
Fig. 3: Células tumorales con amplio citoplasma eosinófilo y marcada atipia focal (Hematoxilina y Eosina, x200). |
Rafael E. Carvia, Mónica Salmerón, Carolina Carvia(*), Marco Masseroli, Mª Dolores Cruz, José Gómez-Jiménez, Mercedes Gómez-Morales.
Copyright © 1998. Reservados todos los derechos.