CARCINOMA SEROSO PAPILAR SOBRE POLIPO ENDOMETRIAL ASOCIADO AL TRATAMIENTO CON TAMOXIFENO.
Mónica Salmerón, Rafael E. Carvia, Francisco O´Valle, Patricia Becerra, Aurelio Martín, Pablo Torné, Francisco F. Nogales.

ICONOGRAFÍA
 |
|
Fig. 1: Pieza de histerectomía mostrando un gran leiomioma intramural y varias formaciones polipoides intracavitarias con marcada dilatación glandular. |
 |
|
Fig. 2: Detalle macroscópico de un corte de la formación polipoide de mayor tamaño donde se aprecian zonas sólidas blanquecinas de aspecto papilar invadiendo grandes glándulas dilatadas. |
 |
|
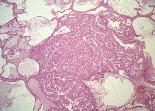
Fig. 3: Imagen histológica correspondiente a la lesión polipoide mostrada en la figura 2. Obsérvese el entramado papilar de la tumoración invadiendo las estructuras vecinas (Hematoxilina y Eosina, x25). |
 |
|
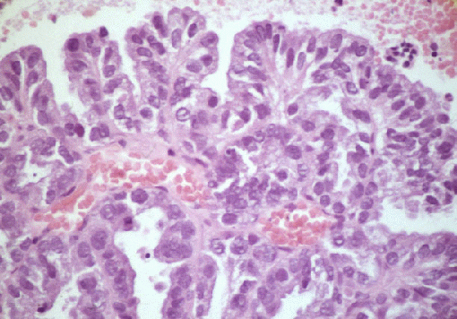
Fig. 4: Detalle de las formaciones papilares constituidas por un eje conjuntivo con finas estructuras vasculares recubiertas por células neoplásicas de citoplasma eosinófilo y núcleos atípicos (Hematoxilina y Eosina, x200). |
Mónica Salmerón, Rafael E. Carvia, Francisco O´Valle, Patricia Becerra, Aurelio Martín, Pablo Torné, Francisco F. Nogales.
Copyright © 1998. Reservados todos los derechos.