Póster
Nº 090

IICVHAPp.gif (9537 bytes)

IndiceIndice

ESTUDIO DE DOS CASOS DE NEUMONITIS CRÓNICA DE LA INFANCIA.
UNA FORMA DE ENFERMEDAD INTERSTICIAL PROPIA DE LA EDAD PEDIÁTRICA

ESTHER IRIZAR URIBARRI J.J. VILANOVA RODRIGUEZ

Comentarios

[TITULO] [CASOS CLÍNICOS] [RESULTADOS] [ICONOGRAFÍA] [DISCUSIÓN] [BIBLIOGRAFÍA]

RESULTADOS

DISCUSIÓN


ICONOGRAFÍA

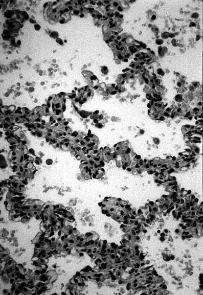
fig. 1
Figura 1: Aspecto de lesión muy celular con un patrón de afectación pulmonar difuso y homogéneo.

 

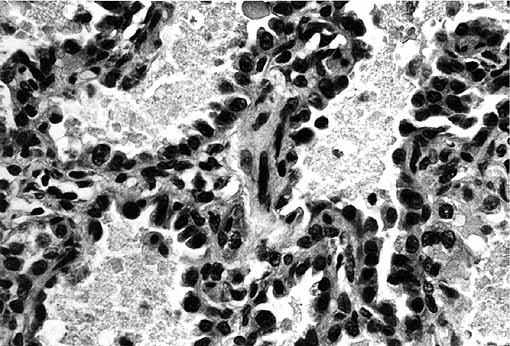
fig. 2
Figura 2: El septo interalveolar se encuentra revestido por neumocitos tipo II hiperplásicos. Se observa también un marcado engrosamiento del mismo a expensas de una población celular redondeada, oval y fusocelular, las células inflamatorias son escasas. El depósito de colágeno NO es significativo.

 

fig. 3
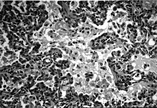
Figura 3: El exudado intralveolar es prominente con abundantes macrófagos, muchos de ellos de citoplasma espumoso.

 

fig. 4
Figura 4: En el espacio alveolar se observan acúmulos parcheados, focales, intralveolares de un material eosinofílico, amorfo y granular con tendencia a situarse en zona subpleural.

 

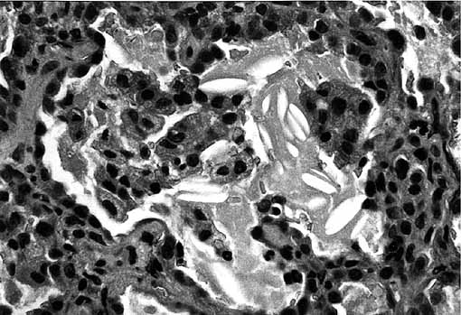
fig. 5
Figura 5: Agujas de colesterol rodeadas de macrófagos situadas, preferentemente, en el espacio alveolar.

 

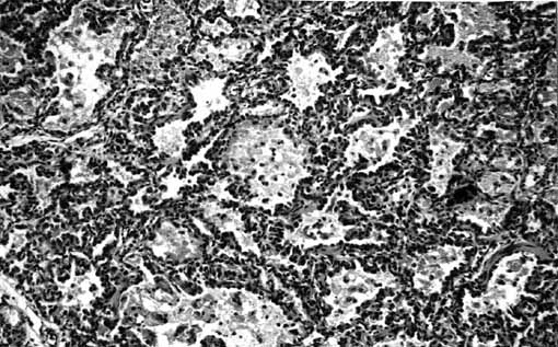
fig. 6
Figura 6: Displasia broncopulmonar (lactante, sd. de down con problemas respiratorios desde el nacimiento). Nótese la marcada fibrosis intersticial que puede llevar a confusión, sin embargo, carece de hiperplasia de neumocitos tipo II y del exudado alveolar característico de la NCI.

 


[TITULO] [CASOS CLÍNICOS] [RESULTADOS] [ICONOGRAFÍA] [DISCUSIÓN] [BIBLIOGRAFÍA]

RESULTADOS

DISCUSIÓN


ESTHER IRIZAR URIBARRI J.J. VILANOVA RODRIGUEZ
Copyright © 1998. Reservados todos los derechos.