ARTERITIS DE CELULAS GIGANTES Y DISECCION AORTICA.
PRESENTACION DE DOS CASOS
Chulia MT, Niveiro MT, Jiménez MJ, Aranda FI.

ICONOGRAFIA-2
 |
|
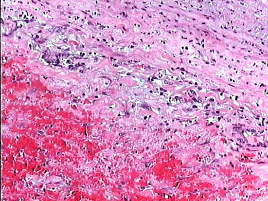
Figura 6. |
 |
|
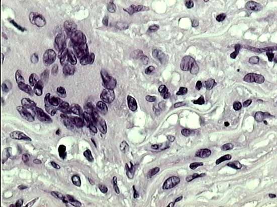
Figura 7. |
 |
|
Figura 8. |
 |
|
Figura 9. |
Chulia MT, Niveiro MT, Jiménez MJ, Aranda FI.
Copyright © 1998. Reservados todos los derechos.