XANTOGRANULOMA NECROBIOTICO.
Una rara lesión cutanea asociada a alteraciones sistémicas
José A. Jiménez Heffernan, Luz Martín, Luis Agreda, Luis Bernaldo de Quiros.

ICONOGRAFÍA
 |
|
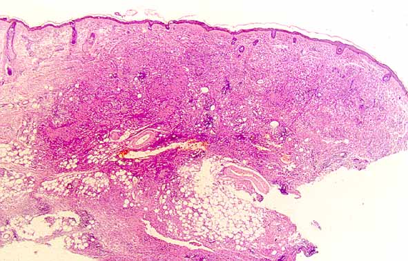
Figura 1 |
 |
|
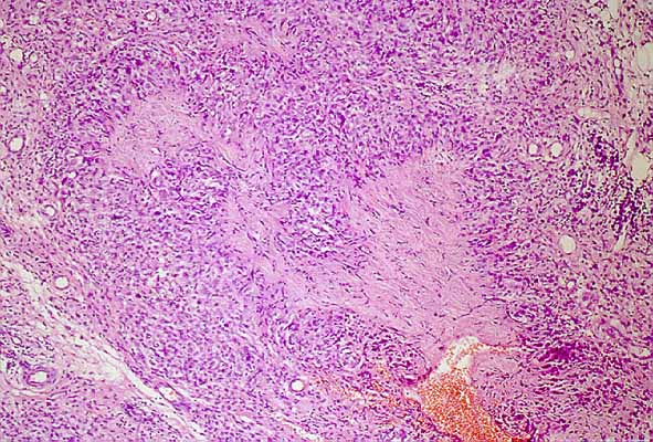
Figura 2 |
 |
|
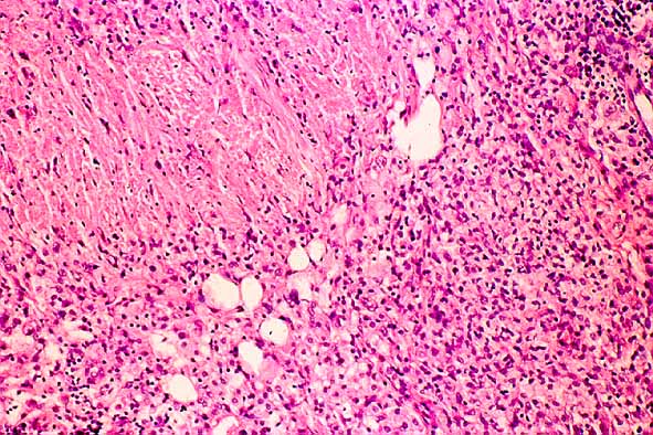
Figura 3 |
 |
|
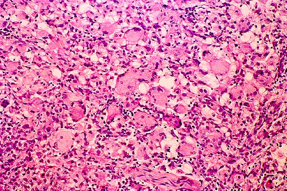
Figura 4 |
José A. Jiménez Heffernan, Luz Martín, Luis Agreda, Luis Bernaldo de Quiros.
Copyright © 1998. Reservados todos los derechos.