Póster
Nº 087

IICVHAPp.gif (9537 bytes)

IndiceIndice

ADAMANTINOMA DE PERONE

José A. Jiménez Heffernan, Luz Martín, José Palacios Carvajal, Alberto García, Eduardo Sanz.

Comentarios

[TITULO] [INTRODUCCIÓN] [CASO CLÍNICO-PATOLOGICO] [ICONOGRAFÍA] [DISCUSIÓN] [BIBLIOGRAFÍA]

CASO CLÍNICO-PATOLOGICO

DISCUSIÓN


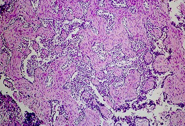
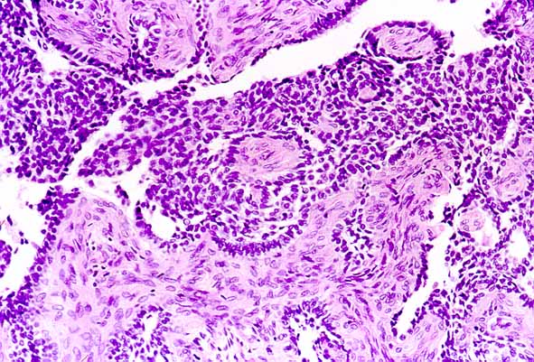
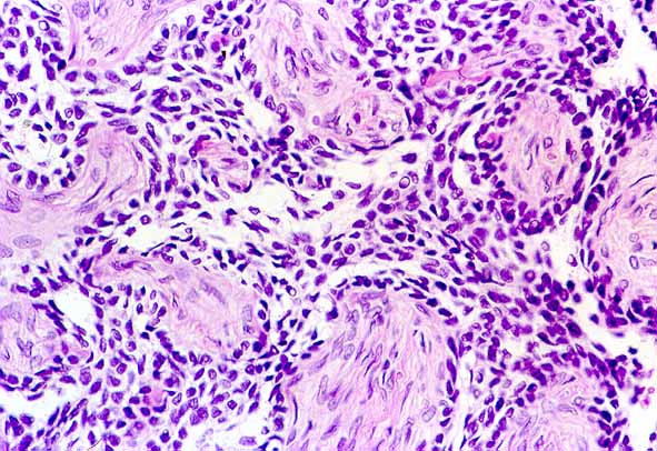
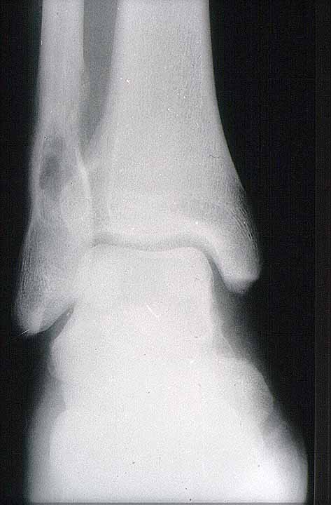
ICONOGRAFÍA

fig. 1
Figura 1

 

fig. 2
Figura 2

 

fig. 3
Figura 3

 

fig. 4
Figura 4

 

fig. 5
Figura 5

 


[TITULO] [INTRODUCCIÓN] [CASO CLÍNICO-PATOLOGICO] [ICONOGRAFÍA] [DISCUSIÓN] [BIBLIOGRAFÍA]

CASO CLÍNICO-PATOLOGICO

DISCUSIÓN


José A. Jiménez Heffernan, Luz Martín, José Palacios Carvajal, Alberto García, Eduardo Sanz.
Copyright © 1998. Reservados todos los derechos.