Póster
Nº 086

IICVHAPp.gif (9537 bytes)

IndiceIndice

METASTASIS DE CARCINOMA DE MAMA EN LOCALIZACIONES POCO FRECUENTES

SOGA GARCIA, ELVIRA; REZOLA SOLAUN, RICARDO

Comentarios

[TITULO] [INTRODUCCIÓN] [CASOS CLÍNICOS] [ICONOGRAFÍA] [DISCUSION] [CONCLUSIONES] [BIBLIOGRAFIA]

CASOS CLÍNICOS

DISCUSION


ICONOGRAFÍA

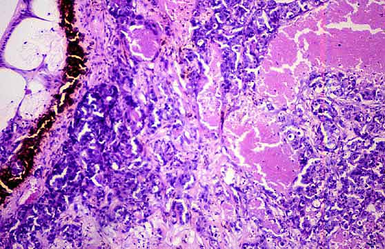
fig. 1
Figura 1.- Grupos celulares con necrosis central, tipo comedo, cubierta en parte por la capa pigmentaria de la retina (HE, 20x)

 

fig. 2
Figura 2.- Filas "indias" de células de carcinoma lobulillar infiltrante (HE, 10x)

 

fig. 3
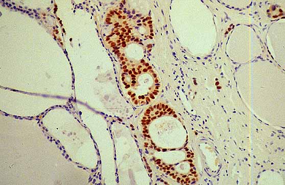
Figura 3.- Receptores de estrógenos positivos (diaminobencidina, 20x)

 

fig. 4
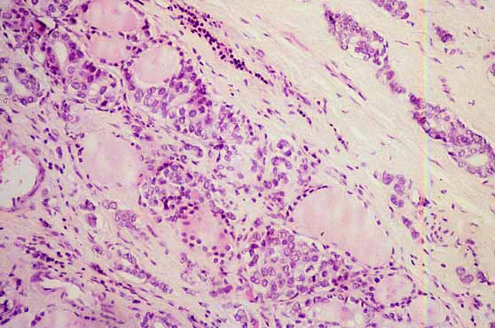
Figura 4.- Acúmulos de células tumorales con patrón cribiforme entre folículos tiroideos (HE, 10x)

 

fig. 5
Figura 5.- Receptores de estrógenos positivos (diaminobencidina, 20x)

 


[TITULO] [INTRODUCCIÓN] [CASOS CLÍNICOS] [ICONOGRAFÍA] [DISCUSION] [CONCLUSIONES] [BIBLIOGRAFIA]

CASOS CLÍNICOS

DISCUSION


SOGA GARCIA, ELVIRA; REZOLA SOLAUN, RICARDO
Copyright © 1998. Reservados todos los derechos.