PROCESOS LINFOPROLIFERATIVOS (LINFOMAS Y ENFERMEDAD DE HODGKIN) EN ENFERMOS DE SIDA.
CARACTERIZACIÓN INMUNOMORFOLÓGICA
M Martin, MF Fresno, M Herreros, P Ablanedo, JM Garcia y A Herrero

ICONOGRAFÍA
 |
|
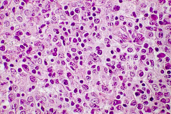
Fig. 1. Hodgkin |
 |
|
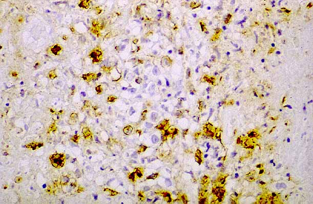
Fig. 2. LMP-1 |
 |
|
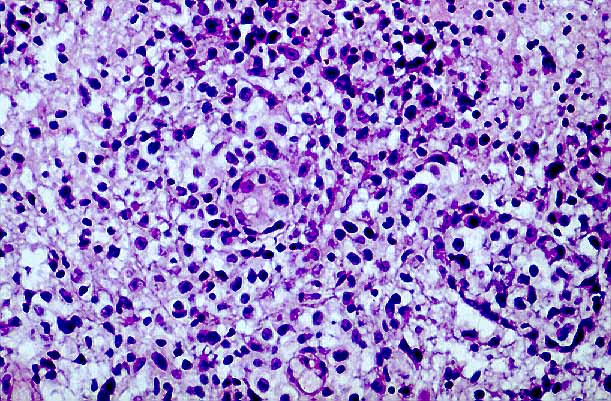
Fig. 3. LIMB del SNC |
 |
|
Fig. 4. LMP-1 |
M Martin, MF Fresno, M Herreros, P Ablanedo, JM Garcia y A Herrero
Copyright © 1998. Reservados todos los derechos.