 |
 |
|
Fig. 1. Imagen macroscópica de la pieza de nefrectomía en un corte sagital efectuado a través de la pelvis renal. |
Fig. 2. Imagen macroscópica en la que se observa la ausencia de afectación relativa de la pelvis renal y de las estructuras hiliares, así como el aspecto sólido, hemorrágico y necrótico del tumor. |
 |
 |
|
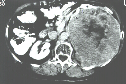
Fig. 3. Imagen de TC con contraste en la que se puede observar la gran tumoración renal izquierda bien delimitada (cabezas de flecha), con áreas de necrosis en su interior (flecha) y con muy escaso parénquima renal restante (asterisco). |
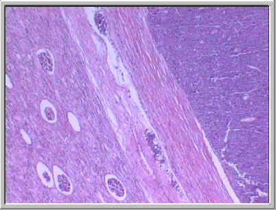
Fig. 4. A pequeño aumento, la tumoración (ángulo superior derecho) muestra una pseudocápsula que la separa del parénquima renal no efectado. (HE, X40.) |
 |
 |
|
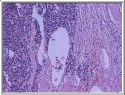
Fig. 5. Focalmente, el tumor infiltra la pseudocápsula. (HE, X100.) |
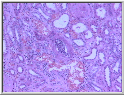
Fig. 6. En el tejido renal adyacente al tumor, algunas luces arteriolares muestran ocupación de su luz por células tumorales. (HE, X100.) |
 |
|
Fig. 7. Imagen del crecimiento tumoral difuso, densamente celular. (HE, X100). |