MIELOLIPOMA SUPRARRENAL. HALLAZGO CASUAL EN UNA ECOGRAFÍA ABDOMINAL
A.M. PUIG, F.M. DAVILA, M. GARCIA ROJO, J. GONZALEZ. J.M. RAMIA, L. PORRAS, J. HERNANDEZ, C. SANABRIA.

ICONOGRAFÍA
 |
|
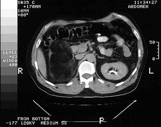
Figura 1. |
 |
|
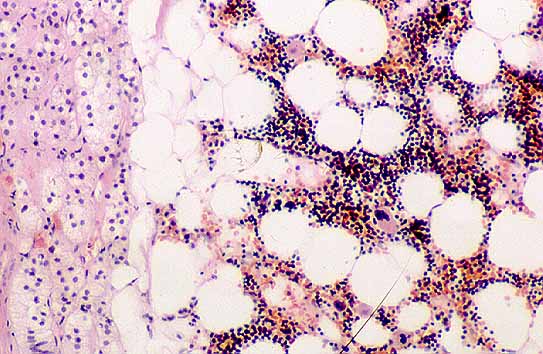
Figura 2. |
 |
|
Figura 3. |
 |
|
Figura 4. |
 |
|
Figura 5. |
A.M. PUIG, F.M. DAVILA, M. GARCIA ROJO, J. GONZALEZ. J.M. RAMIA, L. PORRAS, J. HERNANDEZ, C. SANABRIA.
Copyright © 1998. Reservados todos los derechos.