Póster
Nº 078

IICVHAPp.gif (9537 bytes)

IndiceIndice

Hidrocefalia Asociada a Tumor Hemisférico Cerebral congénito diagnosticado Intrautero


Comentarios

Resultados

 

EXAMEN ANATOMOPATOLOGICO:

En el examen externo, el paciente presenta un desarrollo adecuado, coloración grisácea cutánea, destacando los hallazgos neurológicos en el estudio macroscópico.

El cerebro pesa, tras fijación 450 g y muestra un tumor temporoparietal izquierdo de 9x1Ox4 cm que produce marcada asimetría de hemisferios, aplanamiento total de la superficie cortical homolateral, severa herniación subfalcina con desplazamiento total de las estructuras de la línea media hacia el lado derecho (quiasma, 3º ventrículo, mesencéfalo) así como una enorme herniación parahipocámpica izquierda. El tumor borra totalmente las estructuras ocupando el hemisferio izquierdo desde la corteza insular anterior hasta el polo posterior occipital y presenta delimitación neta, coloración oscura, con textura esponjosa y hemorragias extensas intratumorales. El hemisferio derecho presenta severa dilatación ventricular sin lesiones parenquimatosas. El tronco cerebral está desplazado hacia el lado derecho y totalmente aplanado. El 4º ventrículo se halla dilatado y el cerebelo está atrófico.

Tras inclusión en parafina de cortes hemisféricos cerebrales coronales completos del hemisferio izquierdo y cortes conjuntos de cerebelo y tronco cerebral, y practicadas tinciones de Hematoxolina-Eosina, Kluver Barrer, Mallory e inmunohistoquímicas de PFGA, Vimentina, EMA y Citoqueratina, el estudio al microscopio óptico muestra una infiltración neoplásica del hemisferio izquierdo con buena delimitación del parénquima circundante, que respeta el lóbulo y asta ventricular frontal, ocupando córtex, centro oval y núcleos de todo el hemisferio hasta el polo occipital. La neoplasia presenta además extensa hemorragia intratumoral y áreas de necrosis.

Fig 3a. Fig 3b.

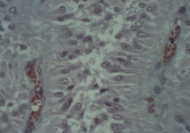
Figura 3a: Seudoroseta perivascular: a): Amplios procesos celulares mostrando disposición radial perivascular. b):Escasa cohesividad de las células de aspecto astrocitario.

Fig 4a. Fig 4b.

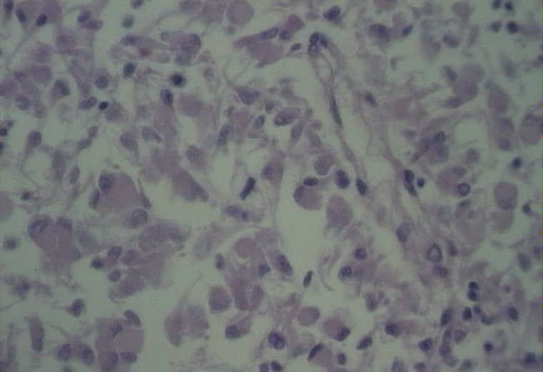
Figura 4 Patrón histológico mixto: a): Infiltración monótona por células primitivas; Seudoroseta aislada central.b): Elementos primitivos con diferenciación a astroblastoma focal.

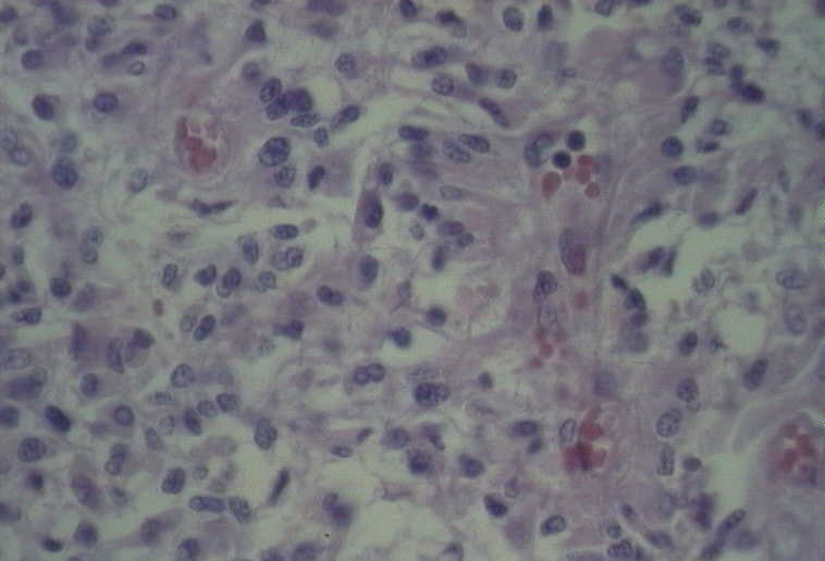
Destaca en extensas áreas conservadas una notable homogeneidad estructural, con formación de seudorosetas perivasculares, cuyas células grandes y de gruesos procesos dirigidos radialmente hacia la pared del vaso muestran amplio citoplasma eosinófilo. Sus núcleos son frecuentemente grandes, irregulares de cromatina fina y casi siempre excéntricos. Las estructuras seudopapilares o seudorosetas dejan entre ellas un espacio libre amplio, o bien ocupado por los procesos celulares sin soporte fibrilar o conectivo (figuras 3.a-b).

Algunas áreas son más celulares, a expensas de elementos pequeños, redondos u ovalados, de núcleos hipercromáticos, con patrón infiltrativo monótono o solapándose con el anterior (fig 4.a-b). No se observa hiperplasia endotelial y el número de mitosis es escaso. En la región anterior de la ínsula y lóbulo parietal, la neoplasia infiltra extensamente el espacio subaracnoideo y meníngeo, creciendo en forma de tumor extra-axial que comprime el parénquima cerebral. En los cortes de tronco cerebral y cerebelo examinados no se observa infiltración tumoral meníngea ni alteraciones histológicas en el parénquima. Sin embargo existe un llamativo aumento del tamaño del 4º ventrículo, que muestra asimetría severa debido a una gran deformidad. Las células tumorales presentan un inmunofenotipo débilmente positivo para el EMA y la PGAF y el resto de marcadores es negativo, hallazgos de valor dudoso por tratarse de material autópsico, con un período de fijación discretamente alargado. Los hallazgos autópsicos asociados incluyen una involución precoz de corteza fetal suprarrenal, hepato- y esplenomegalia congestivas y signos de inmadurez, como es una corteza nefrogénica grado II-III.

 



Verónica Rona, Elida Vázquez, Goya Enríquez, Javier de la Torre, y Joaquim Piqueras.
Copyright © 1998, Vall d'Hebron Hospitals, Barcelona. Reservados todos los derechos.