Póster
Nº 075

IICVHAPp.gif (9537 bytes)

IndiceIndice

MELANOSIS NEUROCUTANEA.

Peláez Malagón, E.; *Evole Buselli, M.; **Navarro Pérez, R.; Hernández Martí, M.

Comentarios

[TITULO] [INTRODUCCIÓN] [ANATOMIA PATOLOGICA] [DISCUSION] [ICONOGRAFÍA]

DISCUSION

TITULO


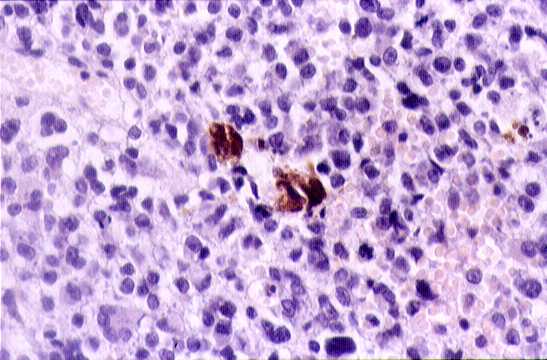
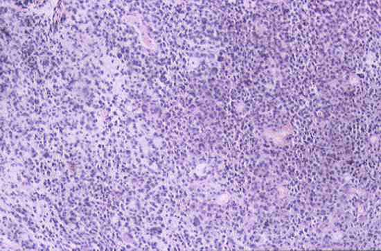
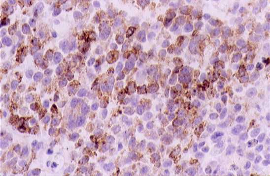
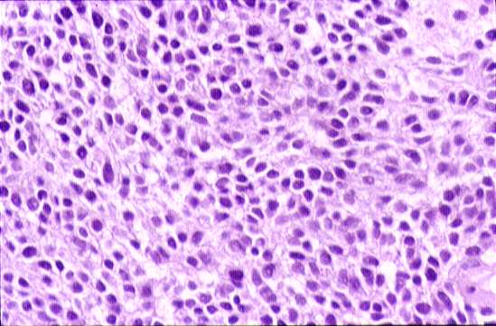
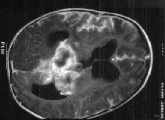
ICONOGRAFÍA

fig. 1
Figura 1

 

fig. 2
Figura 2

 

fig. 3
Figura 3

 

fig. 4
Figura 4

 

fig. 5
Figura 5

 

fig. 6
Figura 6

 


[TITULO] [INTRODUCCIÓN] [ANATOMIA PATOLOGICA] [DISCUSION] [ICONOGRAFÍA]

DISCUSION

TITULO


Peláez Malagón, E.; *Evole Buselli, M.; **Navarro Pérez, R.; Hernández Martí, M.
Copyright © 1998. Reservados todos los derechos.