Póster
Nº 074

IICVHAPp.gif (9537 bytes)

IndiceIndice

Carcinoma cutáneo de bajo grado versus Quiste Triquilemal Proliferante.
A propósito de un caso

Pilar de la Rosa del Rey, Miguel Ángel Limeres González, Teresa Romero Saavedra

Comentarios

[TITULO] [INTRODUCCION] [CASO CLINICO] [HALLAZGOS MORFOLOGICOS] [FOTOS] [DISCUSION] [CONCLUSION] [BIBLIOGRAFIA]

HALLAZGOS MORFOLOGICOS

DISCUSION


FOTOS

foto 1
Foto nº1) Piel con tumoración exofítica y ulcerada.

 

foto 2
Foto nº2) Tumor al corte. Apariencia multilobulada y coloración blanco amarillenta.

 

foto 3
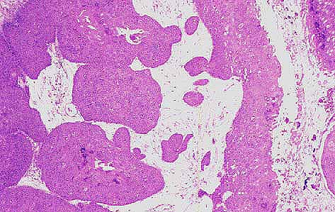
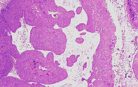
Foto nº3) Proliferación epitelial lobulada de bordes expansivos.

 

foto 4
Foto nº4) Lesión expansiva con queratinización triquilemal central.

 

foto 5
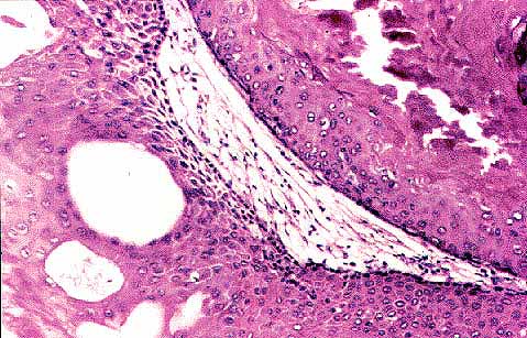
Foto nº5) Epitelio escamoso bien diferenciado, sin atipia ni mitosis, con queratinización triquilemal.

 


[TITULO] [INTRODUCCION] [CASO CLINICO] [HALLAZGOS MORFOLOGICOS] [FOTOS] [DISCUSION] [CONCLUSION] [BIBLIOGRAFIA]

HALLAZGOS MORFOLOGICOS

DISCUSION


Pilar de la Rosa del Rey, Miguel Ángel Limeres González, Teresa Romero Saavedra
Copyright © 1998. Reservados todos los derechos.