Póster
Nº 072

IICVHAPp.gif (9537 bytes)

IndiceIndice

FIBROHISTIOCITOMA BENIGNO ANEURISMATICO

José Mª Martínez de Victoria Muñoz, César Ramirez Tortosa, Isabel Ruiz Avila; Eulalia Bernet Vegue; Cristobal Cueva Ruiz, Angel Carazo Tirao.

Comentarios

[TITULO] [CASO CLÍNICO] [ICONOGRAFÍA] [COMENTARIOS] [BIBLIOGRAFÍA]

CASO CLÍNICO

COMENTARIOS


ICONOGRAFÍA

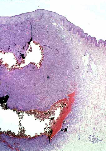
Fig 1
Fig 1.- Aspecto aneurismático del tumor que muestra hiperplasia epidérmica asociada. (H&E, 40x).

 

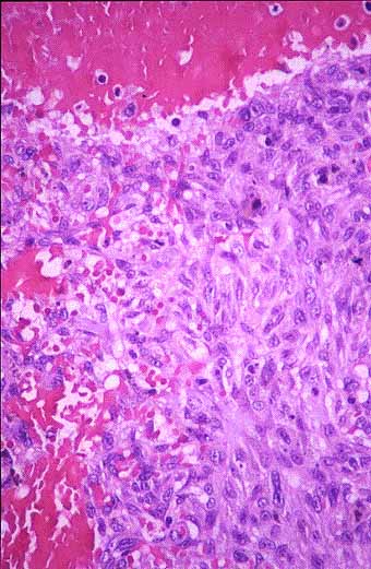
Fig 2
Fig 2.- En la periferia de la lesión se observan haces de colágeno hialinizados rodeados por células tumorales. (H&E, 100x).

 

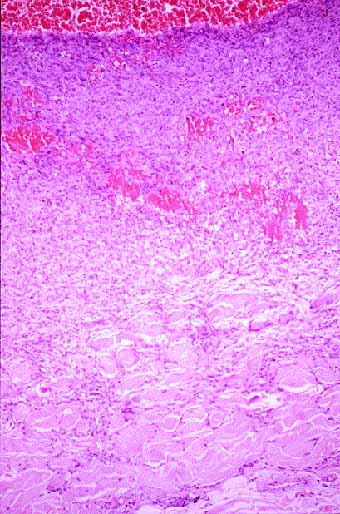
Fig 3
Fig 3.- Aspecto angiomatoide del tumor, aunque los espacios vasculares carecen de revestimiento endotelial. (H&E, 200x)

 

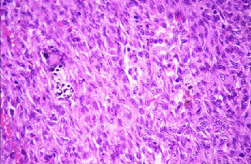
Fig 4
Fig 4.- La lesión muestra polimorfismo celular con presencia de células gigantes y depósitos de hemosiderina. (H&E, 200x).

 


[TITULO] [CASO CLÍNICO] [ICONOGRAFÍA] [COMENTARIOS] [BIBLIOGRAFÍA]

CASO CLÍNICO

COMENTARIOS


José Mª Martínez de Victoria Muñoz, César Ramirez Tortosa, Isabel Ruiz Avila; Eulalia Bernet Vegue; Cristobal Cueva Ruiz, Angel Carazo Tirao.
Copyright © 1998. Reservados todos los derechos.