DIAGNOSTICO CITOLOGICO DE EMBOLISMO PULMONAR POR LIQUIDO AMNIOTICO;
UNA COMPLICACION DEL PARTO INFRECUENTE PERO FATAL
Isabel Ruiz Avila, José Mª Martínez de Victoria Muñoz, Alfredo Diaz*, José Antonio Camacho*, César Ramirez Tortosa, Eulalia Bernet Vegue, Angel Carazo Tirao.

ICONOGRAFÍA
 |
 |
|
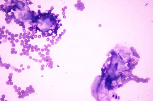
Fig 1.- Presencia de escamas epiteliales sobre fondo hemático. (MGG, 100x). |
Fig 2.- Presencia de escamas epiteliales sobre fondo hemático. (MGG, 400x). |
 |
 |
|
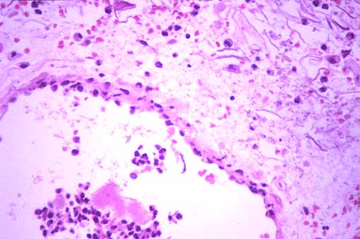
Fig 3.- Presencia de escamas epiteliales en los vasos del útero. (H&E, 200x). |
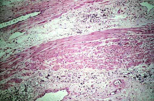
Fig 4.- Presencia de escamas epiteliales en el estroma. (H&E, 100x). |
Isabel Ruiz Avila, José Mª Martínez de Victoria Muñoz, Alfredo Diaz*, José Antonio Camacho*, César Ramirez Tortosa, Eulalia Bernet Vegue, Angel Carazo Tirao.
Copyright © 1998. Reservados todos los derechos.