NEVUS COMBINADO: NEVUS DE SPITZ EN NEVUS CONGENITO
G. Olmedilla Arregui, J.M. Sanz Anquela, E.Moro Rodriguez* y A. Ruiz Villaespesa.

ICONOGRAFÍA
 |
|
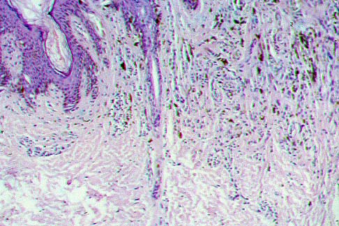
Figura 1 |
 |
|
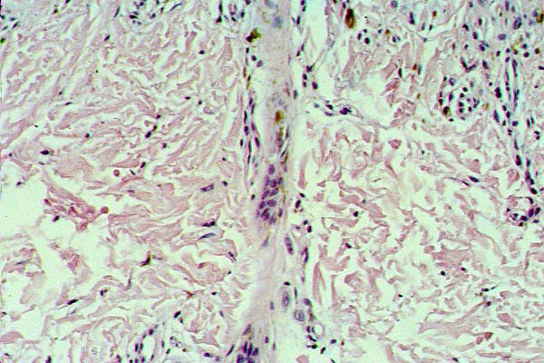
Figura 2 |
 |
|
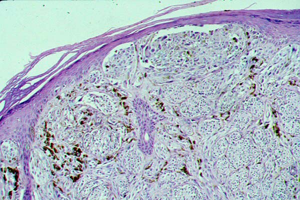
Figura 3 |
 |
|
Figura 4 |
G. Olmedilla Arregui, J.M. Sanz Anquela, E.Moro Rodriguez* y A. Ruiz Villaespesa.
Copyright © 1998. Reservados todos los derechos.