Un caso inusual de Hiperplasia Papilar Endotelial Intravascular (Tumor de Masson) localizado en mama
C. Parra Pérez, E. Moro Rodríguez, I. Ursua Sarmiento, A. del Valle Manteca.

ICONOGRAFÍA
 |
|
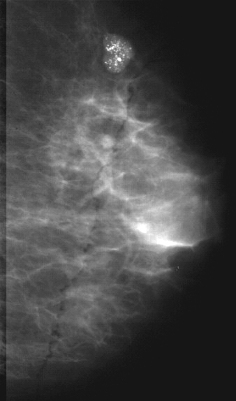
Figura 1 |
 |
|
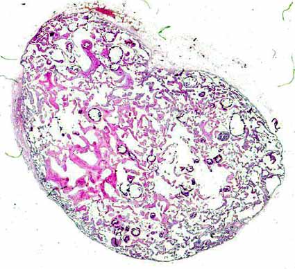
Figura 2 |
 |
|
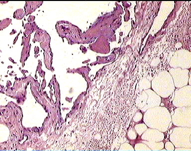
Figura 3 |
 |
|
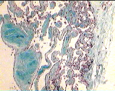
Figura 4 |
C. Parra Pérez, E. Moro Rodríguez, I. Ursua Sarmiento, A. del Valle Manteca.
Copyright © 1998. Reservados todos los derechos.