Póster
Nº 063

IICVHAPp.gif (9537 bytes)

IndiceIndice

Miocarditis por Toxoplasma gondii en un paciente con Síndrome de Inmunodeficiencia Adquirida

Hardisson D, Segura JC*, Martínez-Alfaro E*, Solera J*, Atienzar M.

Comentarios

[TITULO] [INTRODUCCIÓN] [CASO CLÍNICO] [RESULTADOS] [ICONOGRAFÍA] [DISCUSIÓN] [CONCLUSIONES] [BIBLIOGRAFÍA]

RESULTADOS

DISCUSIÓN


ICONOGRAFÍA

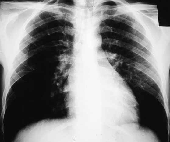
fig. 1
Figura 1. Radiografía simple de tórax al ingreso del paciente. No se observan alteraciones significativas.

 

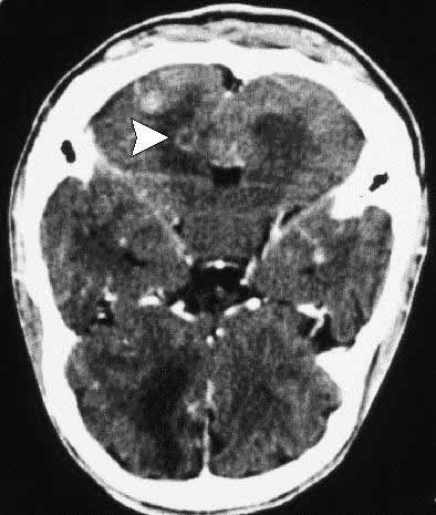
fig. 2
Figura 2. TAC craneal. Lesión focal con realce periférico (flecha).

 

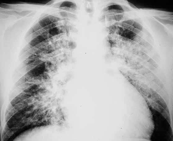
fig. 3
Figura 3. Radiografía simple de tórax en la que se aprecia cardiomegalia importante e infiltrados alveolares pulmonares bilaterales.

 

fig. 4
Figura 4. Panorámica de las lesiones miocárdicas. Se observa una zona de desestructuración del miocardio, con necrosis de fibras, fibrosis y moderado infiltrado inflamatorio linfoplasmocitario.

 

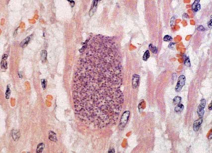
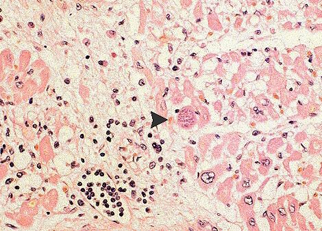
fig. 5
Figura 5. Zona de miocarditis con presencia de un quiste de Toxoplasma gondii intramiocárdico (flecha).

 

fig. 6
Figura 6. Detalle de la estructura quística ocupada totalmente por bradizoitos de Toxoplasma gondii.

 


[TITULO] [INTRODUCCIÓN] [CASO CLÍNICO] [RESULTADOS] [ICONOGRAFÍA] [DISCUSIÓN] [CONCLUSIONES] [BIBLIOGRAFÍA]

RESULTADOS

DISCUSIÓN


Hardisson D, Segura JC*, Martínez-Alfaro E*, Solera J*, Atienzar M.
Copyright © 1998. Reservados todos los derechos.