LIPOSARCOMA INFLAMATORIO RETROPERITONEAL.
GIMENO ARANGUEZ M.,RICO MORALES ML, PELIGROS GOMEZ I., CALVO DE MORA A.,GUERRERO MARQUEZ C., E. ALVAREZ FERNANDEZ E.

ICONOGRAFIA
 |
|
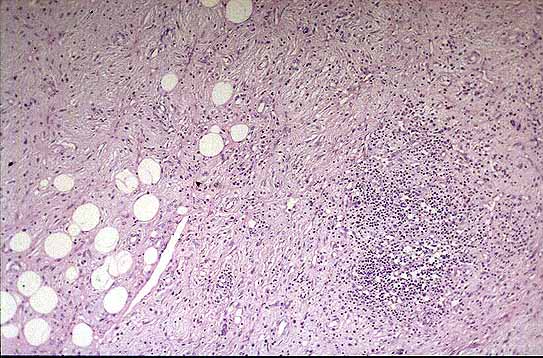
Figura 1. |
 |
|
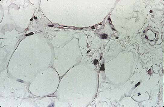
Figura 2. |
 |
|
Figura 3. |
 |
|
Figura 4. |
GIMENO ARANGUEZ M.,RICO MORALES ML, PELIGROS GOMEZ I., CALVO DE MORA A.,GUERRERO MARQUEZ C., E. ALVAREZ FERNANDEZ E.
Copyright © 1998. Reservados todos los derechos.