Póster
Nº 060

IICVHAPp.gif (9537 bytes)

IndiceIndice

TUMOR NEUROECTODERMICO PRIMITIVO INTRACRANEAL DE DESARROLLO FATAL INTRAUTERO.

C.Guerrero Márquez,T.Montenegro Damaso,M.L.Rico Morales, A.Calvo de Mora,C.Lacruz Pelea,E.Alvarez Fernández.

Comentarios

[TITULO] [HISTORIA CLINICA] [AUTOPSIA] [DISCUSION] [BIBLIOGRAFIA]

HISTORIA CLINICA

DISCUSION


AUTOPSIA

El feto presentaba un aspecto edematoso generalizado con un llamativo aumento del cráneo.

A la apertura de la cavidad encefálica se derramó una abundante cantidad de líquido sero-hemorrágico. El encéfalo estaba igualmente edematoso con unos surcos estrechos y unas circunvoluciones mal delimitadas. El hemisferio cerebral derecho estaba aumentado de tamaño produciendo despalazamiento de la línea media hacia el lado contralateral . Los cortes vértico-frontales realizados mostraron una gran masa necro-hemorrágica de aspecto tumoral, que ocupaba totalmente el hemiosferio derecho y gran parte del izquierdo. En su interior se apreciaban areas cavitadas. La tumoración se extendía a los ganglios basales y diencéfalo. El cerebelo y tronco encefálico aparecían edematosos y congestivos. En el resto del estudio, se apreciaron efusiones pleurales y abdominales sin que existieran otras anomalías en los demás órganos.

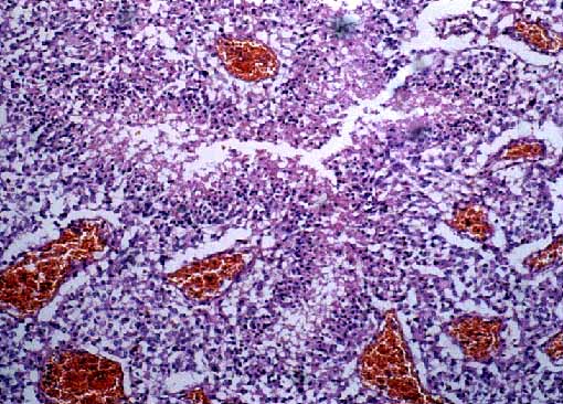
El estudio histológico(FOTO) mostró que la tumoración cerebral correspondía a un tumor densamente celular, de crecimiento difuso, muy vascularizada y con areas de extensas de necrosis. Las células que lo constituían eran indiferenciados, de escaso citoplasma, con un núcleo hipercromático y nucleolo evidente en algunas. En zonas, las células presentaban ciotoplasmas más amplios y se disponían en pseudoempalizada alrededor de areas necróticas. Tras la realizacion de técnicas inmunohistoquímicas, se observó fuerte positividad para el marcador s-100, débil positividad para Enolasa y Vimentina, y negatividad para GFAP y Sinaptofisina.

[TITULO] [HISTORIA CLINICA] [AUTOPSIA] [DISCUSION] [BIBLIOGRAFIA]

HISTORIA CLINICA

DISCUSION


C.Guerrero Márquez,T.Montenegro Damaso,M.L.Rico Morales, A.Calvo de Mora,C.Lacruz Pelea,E.Alvarez Fernández.
Copyright © 1998. Reservados todos los derechos.