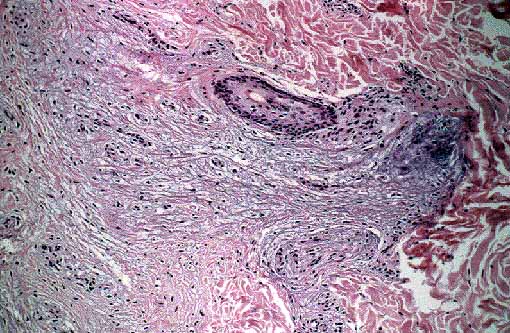
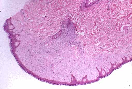
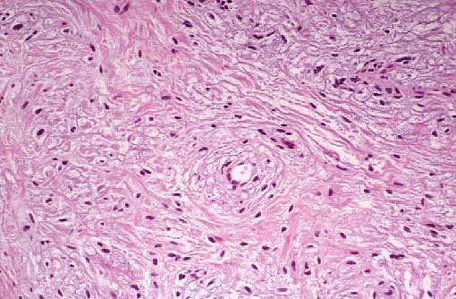
PAPULAS CUTANEAS MULTIPLES ASINTOMATICAS EN UN ADULTO:
TRICODISCOMAS MULTIPLES
FERNANDEZ JJ, MONTENEGRO T, PICO M*, PELIGROS I, GUERRERO MC,
LECONA M.

ICONOGRAFÍA
FERNANDEZ JJ, MONTENEGRO T, PICO M*, PELIGROS I, GUERRERO MC,
LECONA M.
Copyright © 1998. Reservados todos los derechos.