Póster
Nº 054

IICVHAPp.gif (9537 bytes)

IndiceIndice

Tumor mixto cutáneo (siringoma condroide): revisión de cuatro casos.

C. Villanueva, M.J. Fdez. Aceñero, L. Cortés.

Comentarios

[TITULO] [INTRODUCCIÓN] [CASOS CLÍNICOS] [HISTOLOGÍA] [ICONOGRAFÍA] [DISCUSIÓN] [BIBLIOGRAFÍA]

HISTOLOGÍA

DISCUSIÓN


ICONOGRAFÍA

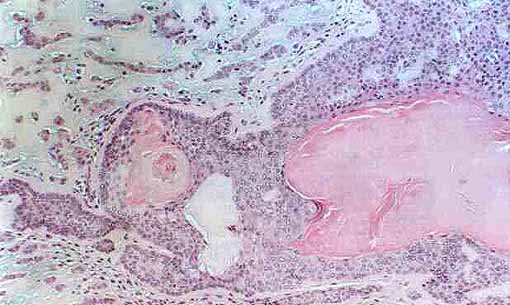
fig. 1
Figura 1: Interrupción focal de la cápsula por nidos de células epiteliales.

 

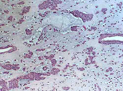
fig. 2
Figura 2: Tumor mixto con el típico estroma mixoide.

 

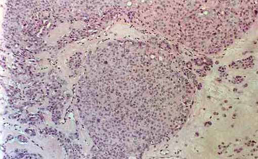
fig. 3
Figura 3: Tumor mixto constituido predominantemente por células hialinas (PAS)

 

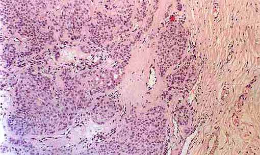
fig. 4
Figura 4: Diferenciación escamosa focal en el seno de la lesión.

 

fig. 5
Figura 5: Atipia citológica focal en las células epiteliales.

 

fig. 6
Figura 6: Positividad intensa para proteína S-100.

 


[TITULO] [INTRODUCCIÓN] [CASOS CLÍNICOS] [HISTOLOGÍA] [ICONOGRAFÍA] [DISCUSIÓN] [BIBLIOGRAFÍA]

HISTOLOGÍA

DISCUSIÓN


C. Villanueva, M.J. Fdez. Aceñero, L. Cortés.
Copyright © 1998. Reservados todos los derechos.