Póster
Nº 053

IICVHAPp.gif (9537 bytes)

IndiceIndice

Leiomiosarcoma Primario de Hueso

T. Rivera, M.J. Mestre, C. Varona y L. Cortés

Comentarios

[TITULO] [CASO CLÍNICO] [ICONOGRAFIA] [DISCUSION] [BIBLIOGRAFIA]

CASO CLÍNICO

DISCUSION


ICONOGRAFIA

fig. 1
Fig 1: nucleos elongados, con atipía y frecuentes mitosis (400x, HE)

 

fig. 2
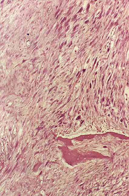
Fig 2: trabéculas óseas englobadas y destruidas por la proliferación tumoral (200x, HE)

 

fig. 3
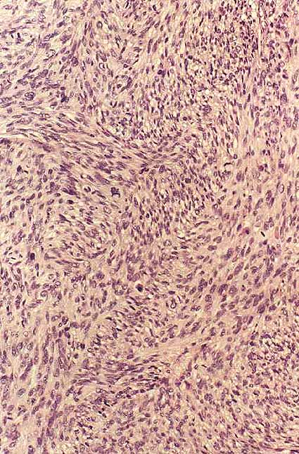
Fig 3: proliferación fusocelular. Patrón de crecimiento fascicular (200x, HE)

 

fig. 4
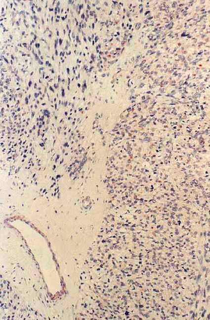
Fig 4: positividad de las células tumorales con actina. Control interno. (400x, Actina)

 

fig. 5
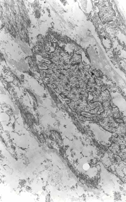
fig 5: célula fusiforme de núcleo elongado con abundantes filamentos citoplasmáticos (ME)

 


[TITULO] [CASO CLÍNICO] [ICONOGRAFIA] [DISCUSION] [BIBLIOGRAFIA]

CASO CLÍNICO

DISCUSION


T. Rivera, M.J. Mestre, C. Varona y L. Cortés
Copyright © 1998. Reservados todos los derechos.