Póster
Nº 052

IICVHAPp.gif (9537 bytes)

IndiceIndice

SINDROME HEMOFAGOCITICO REACTIVO EN PACIENTE CON SIDA

NIVEIRO M, CHULIA MT, ARANDA FI.

Comentarios

[TITULO] [INTRODUCCION] [DESCRIPCION DEL CASO] [ICONOGRAFIA] [DISCUSION] [REFERENCIAS]

DESCRIPCION DEL CASO

DISCUSION


ICONOGRAFIA

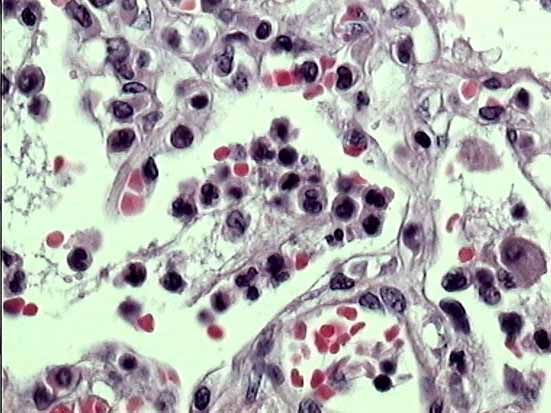
Figura 1
Figura 1.

 

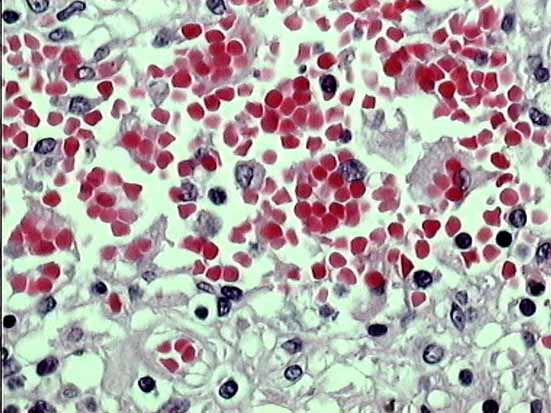
Figura 2
Figura 2.

 

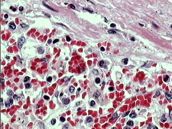
Figura 3
Figura 3.

 

Figura 4
Figura 4.

 


[TITULO] [INTRODUCCION] [DESCRIPCION DEL CASO] [ICONOGRAFIA] [DISCUSION] [REFERENCIAS]

DESCRIPCION DEL CASO

DISCUSION


NIVEIRO M, CHULIA MT, ARANDA FI.
Copyright © 1998. Reservados todos los derechos.