Póster
Nº 051

IICVHAPp.gif (9537 bytes)

IndiceIndice

INVAGINACION INTESTINAL CAUSADA POR PÓLIPO FIBROIDE INFLAMATORIO

B Madrigal, A Vara (*), MF Fresno, F Gonzalez Carril, M Herreros, P Ablanedo y A Herrero

Comentarios

[TITULO] [INTRODUCCIÓN] [HISTORIA CLÍNICA] [RESULTADOS] [ICONOGRAFÍA] [COMENTARIOS] [BIBLIOGRAFÍA]

RESULTADOS

COMENTARIOS


ICONOGRAFÍA

fig. 1
Figura 1. Enema opaco: masa intraluminal en colon ascendente que provoca una invaginación ileocecal

 

fig. 2
Figura 2.

 

fig. 3
Figura 3.

 

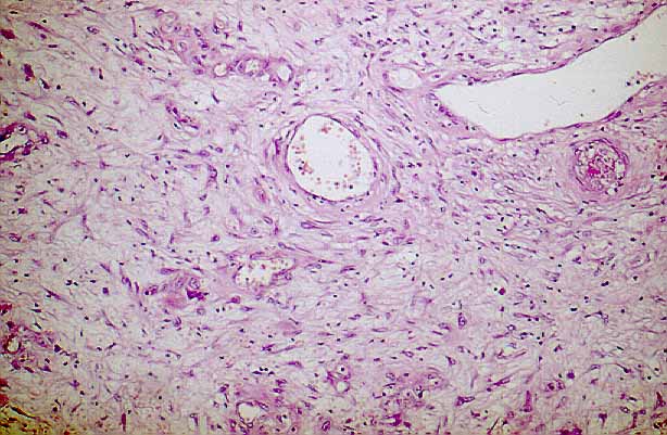
fig. 4
Figura 4. HE 100x

 


[TITULO] [INTRODUCCIÓN] [HISTORIA CLÍNICA] [RESULTADOS] [ICONOGRAFÍA] [COMENTARIOS] [BIBLIOGRAFÍA]

RESULTADOS

COMENTARIOS


B Madrigal, A Vara (*), MF Fresno, F Gonzalez Carril, M Herreros, P Ablanedo y A Herrero
Copyright © 1998. Reservados todos los derechos.