Póster
Nº 050

IICVHAPp.gif (9537 bytes)

IndiceIndice

HAMARTOMA GIGANTE DE GLANDULAS DE BRUNNER

B Madrigal, MF Fresno, E Sanchez Salmón, F Gonzalez Carril, P Ablanedo, JL Alonso(*) y A Herrero

Comentarios

[TITULO] [INTRODUCCIÓN] [HISTORIA CLÍNICA] [RESULTADOS] [ICONOGRAFÍA] [COMENTARIOS] [BIBLIOGRAFÍA]

RESULTADOS

COMENTARIOS


ICONOGRAFÍA

fig. 1
Figura 1.

 

fig. 2
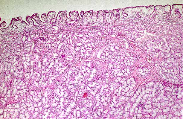
Figura 2. H/E 100x

 

fig. 3
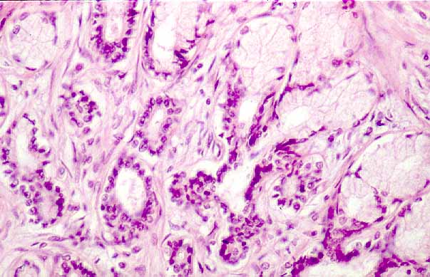
Figura 3. H/E 250x

 

fig. 4
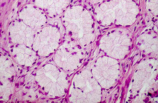
Figura 4. H/E 250x

 


[TITULO] [INTRODUCCIÓN] [HISTORIA CLÍNICA] [RESULTADOS] [ICONOGRAFÍA] [COMENTARIOS] [BIBLIOGRAFÍA]

RESULTADOS

COMENTARIOS


B Madrigal, MF Fresno, E Sanchez Salmón, F Gonzalez Carril, P Ablanedo, JL Alonso(*) y A Herrero
Copyright © 1998. Reservados todos los derechos.