MELANOMA DESMOPLÁSICO NEUROTRÓPICO DEL LABIO INFERIOR
MF Fresno, B Madrigal, M Veiga, MJ Pérez Del Rio, P Ablanedo, L Junquera y A Herrero

ICONOGRAFÍA
 |
|
Figura 1. |
 |
|
Figura 2. |
 |
|
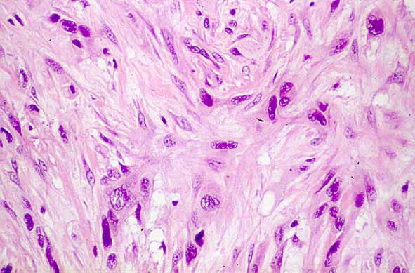
Figura 3.H/E 200x |
 |
|
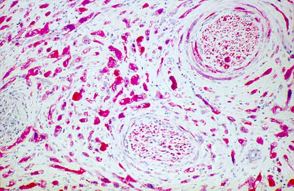
Figura 4. Prot. S-100 |
MF Fresno, B Madrigal, M Veiga, MJ Pérez Del Rio, P Ablanedo, L Junquera y A Herrero
Copyright © 1998. Reservados todos los derechos.