Póster
Nº 048

IICVHAPp.gif (9537 bytes)

IndiceIndice

GRANULOMA DE CUERPO EXTRAÑO (PELO) EN LA PRÓSTATA. UN NUEVO CASO.

*RAMÍREZ-TORTOSA, C; *MEDINA-CANO, MT; URRUTIA, J; MORENO, J; NAZMI, I.

Comentarios

[TITULO] [CASOS CLÍNICOS] [ICONOGRAFÍA] [COMENTARIOS] [BIBLIOGRAFÍA]

CASOS CLÍNICOS

COMENTARIOS


ICONOGRAFÍA

Fig 1
Fig 1.- Reacción granulomatosa con presencia de una célula gigante multinucleada rodeando la vaina de un pelo en el estroma prostático. (H&E, 100x).

 

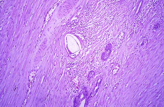
Fig 2
. Fig 2.- Reacción granulomatosa con presencia de una célula gigante multinucleada rodeando la vaina de un pelo en el estroma prostático. (H&E, 200x).

 


[TITULO] [CASOS CLÍNICOS] [ICONOGRAFÍA] [COMENTARIOS] [BIBLIOGRAFÍA]

CASOS CLÍNICOS

COMENTARIOS


*RAMÍREZ-TORTOSA, C; *MEDINA-CANO, MT; URRUTIA, J; MORENO, J; NAZMI, I.
Copyright © 1998. Reservados todos los derechos.