Póster
Nº 047

IICVHAPp.gif (9537 bytes)

IndiceIndice

DERMATOPATÍA POR HIDROXIUREA.
UN NUEVO CASO.

RAMÍREZ-TORTOSA, C; RAMOS, ML; MEDINA-CANO, MT; VERGARA, E.

Comentarios

[TITULO] [CASO CLINICO] [ICONOGRAFIA] [COMENTARIOS] [BIBLIOGRAFIA]

CASO CLINICO

COMENTARIOS


ICONOGRAFIA

Fig1
Fig 1.- Foto macroscópica. Eritema violáceo localizado, sobre todo, en dorso de manos, con intensa atrofia y descamación.

 

Fig2
Fig 2.- Hiperortoqueratosis sin hipergranulosis, degeneración hidrópica con formación de cuerpos citoides, vesiculación epidérmica, cambios escamosos focales con presencia de disqueratosis e infiltrado liquenoide en la unión dermoepidérmica. (H&E, 100x).

 

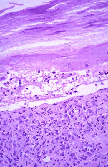
Fig3
Fig 3.- Igual lesiones a mayor aumento. (H&E, 200x).

 


[TITULO] [CASO CLINICO] [ICONOGRAFIA] [COMENTARIOS] [BIBLIOGRAFIA]

CASO CLINICO

COMENTARIOS


RAMÍREZ-TORTOSA, C; RAMOS, ML; MEDINA-CANO, MT; VERGARA, E.
Copyright © 1998. Reservados todos los derechos.