Póster
Nº 046

IICVHAPp.gif (9537 bytes)

IndiceIndice

CONDROSARCOMA TRAS IMPLANTE DE SUSTITUCIÓN ARTICULAR:
DESCRIPCIÓN DE UN NUEVO CASO

*HERNANDEZ, P; RAMÍREZ-TORTOSA, C; PEREGRINA, M; ANEIROS, J; O´VALLE, F; GARCÍA DEL MORAL, R.

Comentarios

[TITULO] [CASOS CLÍNICOS] [ICONOGRAFÍA] [COMENTARIOS] [BIBLIOGRAFÍA]

CASOS CLÍNICOS

COMENTARIOS


ICONOGRAFÍA

Fig1
Fig 1.- Radiología simple de rodilla. lesión ósea destructiva, de localización metafisaria, densidad heterogénea y calcificaciones intratumorales

 

Fig2
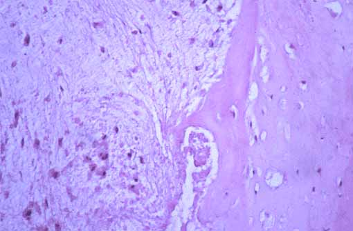
Fig 2.- Matriz condroide bien formada en continuidad conmatriz mixoide. Los núcleos son uniformes y pequeños. (H&E, 100x).

 

Fig3
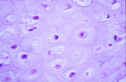
Fig 3.- Agrupaciones celulares en matriz cartilaginosa. Los núcleos son moderadamente incrementados en tamaño y de contornos algo irregulares. (H&E, 200x).

 


[TITULO] [CASOS CLÍNICOS] [ICONOGRAFÍA] [COMENTARIOS] [BIBLIOGRAFÍA]

CASOS CLÍNICOS

COMENTARIOS


*HERNANDEZ, P; RAMÍREZ-TORTOSA, C; PEREGRINA, M; ANEIROS, J; O´VALLE, F; GARCÍA DEL MORAL, R.
Copyright © 1998. Reservados todos los derechos.