Glomerulopatía Mesangiopática No Sistémica con Depósitos múltiples de Inmunocomplejos.
Nuestra experiencia en Pediatría
Dra. María del Carmen Benítez García, Dra. Digna Espinosa López, Dra. María Victoria López Soto, Dr. Jesús Siles Cadillá

ICONOGRAFIA
 |
|
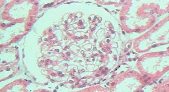
Figura 1. |
 |
|
Figura 2. |
 |
|
Figura 3. |
Dra. María del Carmen Benítez García, Dra. Digna Espinosa López, Dra. María Victoria López Soto, Dr. Jesús Siles Cadillá
Copyright © 1998. Reservados todos los derechos.