Póster
Nº 041

IICVHAPp.gif (9537 bytes)

IndiceIndice

HIBERNOMA.
PRESENTACION DE UN CASO

Casado I.1, Alonso M.J.1, Corcuera M.T.1, Picazo A.1, Gómez-Aguado F.1, Jimenez- Miramon F.J.2

Comentarios

[TITULO] [INTRODUCCIÓN] [CASO CLÍNICO] [ANATOMIA PATOLOGICA] [ICONOGRAFÍA] [DISCUSIÓN] [BIBLIOGRAFÍA]

ANATOMIA PATOLOGICA

DISCUSIÓN


ICONOGRAFÍA

fig. 1
Figura 1.- Imagen macroscópica: formación ovalada de 5.5.cm. de dimensión máxima. Característica superficie de corte homogénea de coloración dorada amarillenta.

 

fig. 2
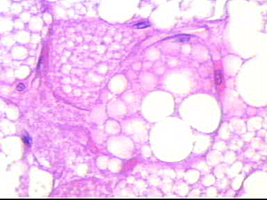
Figura 2.- Hibernoma constituido por grasa parda, tejido adiposo maduro y zonas de transición entre ambas. (Hematoxilina – Eosina, objetivo 4x).

 

fig. 3
Figura 3.- Hibernoma: células redondeadas, eosinofílicas y multivacuoladas, con el núcleo situado centralmente, junto con otras con una única vacuola que desplaza el núcleo a la periferia. (Hematoxilina – Eosina, objetivo 20x).

 

fig. 4
Figura 4.- Las células neoplásicas típicas presentan un citoplasma multivacuolado o granular eosinofílico y un núcleo central y sin atipias. Detalle celular. (Hematoxilina –Eosina, objetivo 40x).

 


[TITULO] [INTRODUCCIÓN] [CASO CLÍNICO] [ANATOMIA PATOLOGICA] [ICONOGRAFÍA] [DISCUSIÓN] [BIBLIOGRAFÍA]

ANATOMIA PATOLOGICA

DISCUSIÓN


Casado I.1, Alonso M.J.1, Corcuera M.T.1, Picazo A.1, Gómez-Aguado F.1, Jimenez- Miramon F.J.2
Copyright © 1998. Reservados todos los derechos.