Póster
Nº 040

IICVHAPp.gif (9537 bytes)

IndiceIndice

COLANGITIS AUTOINMUNE PRIMARIA

Juan C. Tardío.

Comentarios

[TITULO] [INTRODUCCIÓN] [MATERIAL Y MÉTODOS] [RESULTADOS] [ICONOGRAFÍA] [DISCUSIÓN] [CONCLUSION] [BIBLIOGRAFÍA]

RESULTADOS

DISCUSIÓN


ICONOGRAFÍA

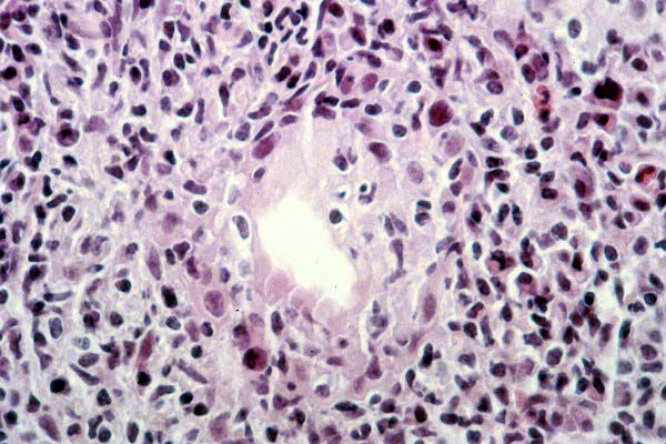
fig. 1
Figura 1.- Espacio porta ocupado por infiltrado inflamatorio, con lesión de un ducto biliar interlobular e imágenes de necrosis erosiva.

 

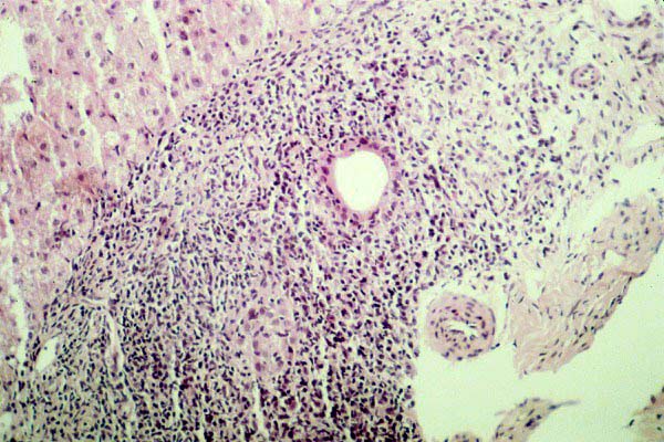
fig. 2
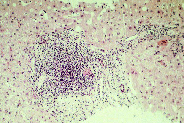
Figura 2.- Espacio porta con infiltrado inflamatorio polimorfo dispuesto en torno a un ducto biliar interlobular. Obsérvese la presencia de un granuloma epitelioide.

 

fig. 3
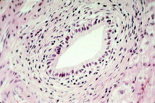
Figura 3.- Ducto biliar interlobular rodeado por infiltrado inflamatorio y con linfocitos en su pared.

 

fig. 4
Figura 4.- Ducto biliar interlobular con poliseriación y eosinofilia del epitelio, permeado por células inflamatorio.

 

fig. 5
Figura 5.- Ducto biliar interlobular rodeado por una fibrosis concéntrica en capas de cebolla.

 

fig. 6
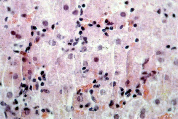
Figura 6.- Infiltrado linfocitario lobular parcheado asociado a necrosis hepatocitarias aisladas.

 


[TITULO] [INTRODUCCIÓN] [MATERIAL Y MÉTODOS] [RESULTADOS] [ICONOGRAFÍA] [DISCUSIÓN] [CONCLUSION] [BIBLIOGRAFÍA]

RESULTADOS

DISCUSIÓN


Juan C. Tardío.
Copyright © 1998. Reservados todos los derechos.