Póster
Nº 039

IICVHAPp.gif (9537 bytes)

IndiceIndice

ONCOCITOMAS RENALES MÚLTIPLES BILATERALES

Dra. MV López Soto*; Dra. MC Benítez García*; Dr. D Cubero Rego*; Dr. JJ Fernández de Mera**

Comentarios

[TITULO] [INTRODUCCIÓN] [MATERIAL Y METODOS] [RESULTADOS] [ICONOGRAFÍA] [DISCUSIÓN] [BIBLIOGRAFÍA]

RESULTADOS

DISCUSIÓN


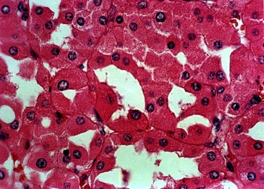
ICONOGRAFÍA

fig. 1
Extendido celular a expensas de células de hábito oncocítico.

 

fig. 2
Figura 2.- Tumor sólido que crece con distintos patrones y celularidad de hábito oncocítica

 


[TITULO] [INTRODUCCIÓN] [MATERIAL Y METODOS] [RESULTADOS] [ICONOGRAFÍA] [DISCUSIÓN] [BIBLIOGRAFÍA]

RESULTADOS

DISCUSIÓN


Dra. MV López Soto*; Dra. MC Benítez García*; Dr. D Cubero Rego*; Dr. JJ Fernández de Mera**
Copyright © 1998. Reservados todos los derechos.