Póster
Nº 035

IICVHAPp.gif (9537 bytes)

IndiceIndice

NEFROMA MESOBLASTICO ATIPICO DEL ADULTO.
PRESENTACION DE UN CASO

DAVID CUBERO *; JOSE JUAN FERNANDEZ ** ; JESUS CADILLA**; AGUSTIN CHONG*; JORGE VALDEZ*; ISRAEL BORRAJERO*

Comentarios

[TITULO] [INTRODUCCIÓN] [MATERIAL Y METODOS] [RESULTADOS] [ICONOGRAFÍA] [DISCUSIÓN] [BIBLIOGRAFÍA]

RESULTADOS

DISCUSIÓN


ICONOGRAFÍA

fig. 1
Figura 1.- Superficie de corte renal: Lesión tumoral de aspecto miomatoso sin límites netos, con áreas necróticas.

 

fig. 2
Figura 2.- Componente estromal, laxo, con células fusiformes atípicas.

 

fig. 3
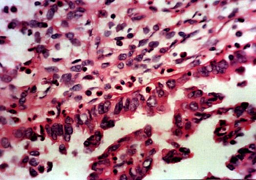
Figura 3.- Componente epitelial, revistiendo una estructura tubular de aspecto atípico.

 


[TITULO] [INTRODUCCIÓN] [MATERIAL Y METODOS] [RESULTADOS] [ICONOGRAFÍA] [DISCUSIÓN] [BIBLIOGRAFÍA]

RESULTADOS

DISCUSIÓN


DAVID CUBERO *; JOSE JUAN FERNANDEZ ** ; JESUS CADILLA**; AGUSTIN CHONG*; JORGE VALDEZ*; ISRAEL BORRAJERO*
Copyright © 1998. Reservados todos los derechos.