Póster
      Nº 031

IICVHAPp.gif (9537 bytes)

IndiceIndice

TUMORES TESTICULARES METASTÁSICOS.NUESTRA EXPERIENCIA

Gómez Jiménez, J; Cruz Cruz, MD; Martinez Torres,JL; Nogales Fernandez,F; Carvia Ponsaillé, RE; Zuluaga Gómez,A

Comentarios

[TITULO] [INTRODUCCIÓN] [CASOS CLÍNICOS] [ICONOGRAFIA] [DISCUSIÓN] [BIBLIOGRAFIA]

CASOS CLÍNICOS

DISCUSIÓN


ICONOGRAFIA

fig. 1
Figura 1.- RMN: Estructura ovoidea de 8X8X7 en hemiescroto izquierdo que presenta gran homogeneidad, con hiperintensidad, salvo por pequeño polo anteroinferior que es de menor intensidad. Pared escrotal muy engrosada.

 

fig. 2
Figura 2.- Adenocarcinoma (H&E X 40): Pequeño islote tumoral en el centro y túbulos seminíferos normales alrededor.

 

fig. 3
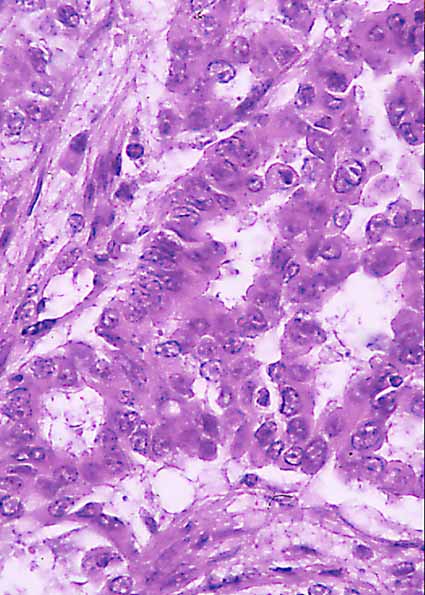
Figura 3.- Adenocarcinoma (H&E X 800): Células neoplásicas con tendencia a formar glándulas. Los nucleos muestran signos de atipicidad, nucleolo prominente.

 

fig.4
Figura 4.- Carcinoma escamoso (H&E X 40): Zona tumoral de hábito epitelial que se dispone en nidos.Túbulos seminíferos no afectados.

 

fig.5
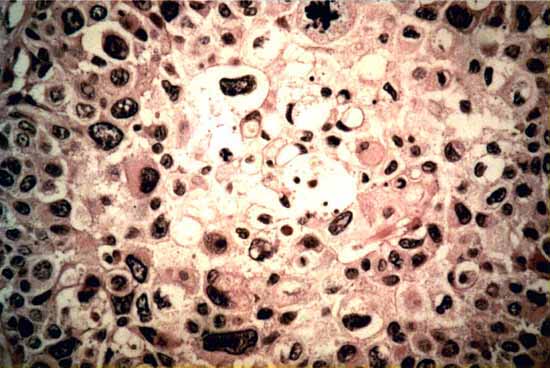
Figura 5.- Carcinoma escamoso (H&E X 800): Células neoplásicas con marcado pleomorfismo nuclear y figuras de mitosis atípica.

 


[TITULO] [INTRODUCCIÓN] [CASOS CLÍNICOS] [ICONOGRAFIA] [DISCUSIÓN] [BIBLIOGRAFIA]

CASOS CLÍNICOS

DISCUSIÓN


Gómez Jiménez, J; Cruz Cruz, MD; Martinez Torres,JL; Nogales Fernandez,F; Carvia Ponsaillé, RE; Zuluaga Gómez,A
Copyright © 1998. Reservados todos los derechos.