Póster
      Nº 027

IICVHAPp.gif (9537 bytes)

IndiceIndice

SINDROME DE INSENSIBILIDAD COMPLETA A ANDROGENOS (CAIS)

Nieto, María Fernanda; García Colinas, René; Lorenzatti, Etel; Fonseca, Gabriela; Rayá, Mercedes; Schaposnik, Jorge.

Comentarios

[TITULO] [INTRODUCCIÓN] [MATERIAL Y MÉTODOS] [ICONOGRAFÍA] [CONCLUSIONES] [BIBLIOGRAFÍA]

MATERIAL Y MÉTODOS

CONCLUSIONES


ICONOGRAFÍA

Fig.1
Figura 1.- Cariotipo 47,XYY (Técnica de bandeo cromosómico G) (flechas en cromosomas Y)

 

Fig.2
Figura 2.- Túbulos seminíferos pequeños y comprimidos con células de Sértoli inmaduras (Hematoxilina férrica safranina 40X)

 

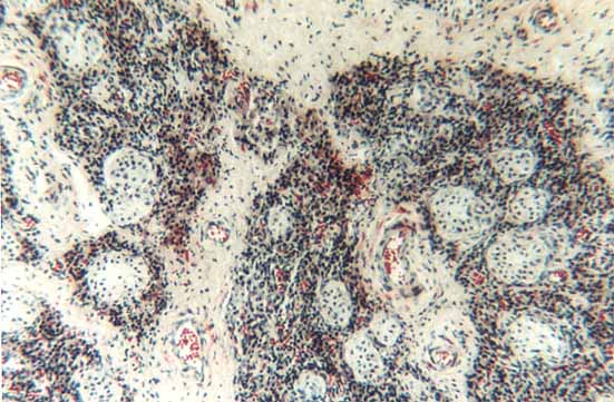
Fig.3
Figura 3.- Túbulos seminíferos inmaduros comprimidos (Hematoxilina férrica safranina 4X) (H&E 10X)

 


[TITULO] [INTRODUCCIÓN] [MATERIAL Y MÉTODOS] [ICONOGRAFÍA] [CONCLUSIONES] [BIBLIOGRAFÍA]

MATERIAL Y MÉTODOS

CONCLUSIONES


Nieto, María Fernanda; García Colinas, René; Lorenzatti, Etel; Fonseca, Gabriela; Rayá, Mercedes; Schaposnik, Jorge.
Copyright © 1998. Reservados todos los derechos.