Póster
Nº 026

IICVHAPp.gif (9537 bytes)

IndiceIndice

Poliposis Linfomatoide Asociada a Infiltración Generalizada
por Linfoma de Células del Manto (Real) y Metaplasia Mieloide

Dr. JJ Fernández de Mera *, Dr. Cubero **, Dr. J Siles***, Dra. MP Rios **, Dr. R Álvarez **, Prof. I Borrajero **

Comentarios

[TITULO] [INTRODUCCIÓN] [MATERIAL Y MÉTODOS] [RESULTADOS] [ICONOGRAFIA] [DISCUSION] [BIBLIOGRAFIA]

RESULTADOS

DISCUSION


ICONOGRAFIA

Fig.1
Figura 1.- Intestino: Lesiones exofíticas y anulares en región yeyuno - ileal.

 

Fig.2
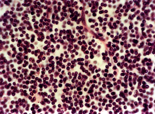
Figura 2.- Ganglio linfático: Proliferación difusa y monomorfa de linfocitos centrocito - like.

 

Fig.3
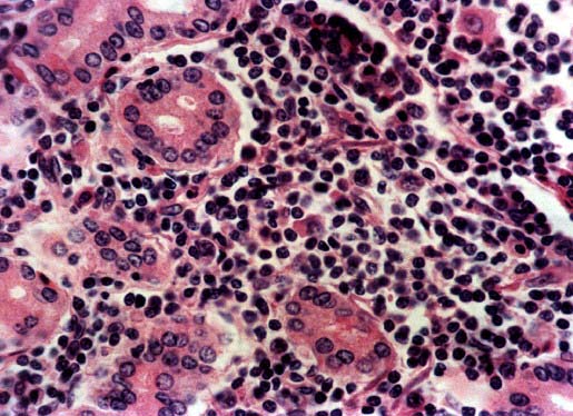
Figura 3.- Intestino delgado: Infiltrados múltiples de linfocitos centrocito - like, que expanden la submucosa, sin producir lesión linfoepitelial.

 

Fig.4
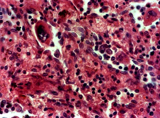
Figura 4.- Hígado: Megacariocitos junto a otros elementos hematopoyéticos.

 

Fig.5
Figura 5.- Bazo: Megacariocitos junto a otros elementos hematopoyéticos.

 

Fig.6
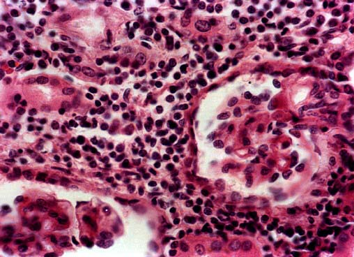
Figura 6.- Riñón: Infiltración de linfocitos centrocito - like en intersticio renal.

 


[TITULO] [INTRODUCCIÓN] [MATERIAL Y MÉTODOS] [RESULTADOS] [ICONOGRAFIA] [DISCUSION] [BIBLIOGRAFIA]

RESULTADOS

DISCUSION


Dr. JJ Fernández de Mera *, Dr. Cubero **, Dr. J Siles***, Dra. MP Rios **, Dr. R Álvarez **, Prof. I Borrajero **
Copyright © 1998. Reservados todos los derechos.