Póster
Nº 021

IICVHAPp.gif (9537 bytes)

IndiceIndice

Neurofibroma con glandulas mucoproductoras. Presentacion de un caso.
Revision de la literatura.

Dra. Teresa Cuesta Mejias, Dra. Barbara Estupinan Diaz, Dra. Sirced Salazar Rodriguez, Dra. Elizabeth Carballosa.

Comentarios

[TITULO] [INTRODUCCIÓN] [PRESENTACION DEL CASO] [ICONOGRAFIA] [DISCUSION] [REFERENCIAS]

PRESENTACION DEL CASO

DISCUSION


ICONOGRAFIA

Figura 1
Fig. 1 Componente fusocelular predominante. H/E. x 400.

 

Figura 2
Fig. 2 Glándulas revestidas de epitelio cúbico o clilíndrico no ciliado, mucosecretor. H/E. x 400.

 

Figura 3
Fig. 3 Glándulas abortivas con luces pequeñas. H/E. x 400.

 

Figura 4
Fig. 4 S100 positivo en componente fusocelular. P.A.P. x 400.

 

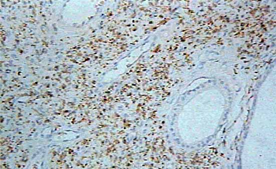
Figura 5
Fig. 5 Citoqueratina positiva en epitelio glandular. P.A.P x 400

 


[TITULO] [INTRODUCCIÓN] [PRESENTACION DEL CASO] [ICONOGRAFIA] [DISCUSION] [REFERENCIAS]

PRESENTACION DEL CASO

DISCUSION


Dra. Teresa Cuesta Mejias, Dra. Barbara Estupinan Diaz, Dra. Sirced Salazar Rodriguez, Dra. Elizabeth Carballosa.
Copyright © 1998. Reservados todos los derechos.