Póster
      Nº 020

IICVHAPp.gif (9537 bytes)

IndiceIndice

Tumor trofoblástico del sitio placentario posterior a mola hidatidiforme completa, reporte de un caso

Dr Eduardo Luévano Flores y Dr Jesús Roberto Durán Armendariz.

comenta.gif (3561 bytes)
[Comentarios]

[Resumen] [Introducción] [Material y Métodos] [Resultados] [Iconografía 1] [Discusión] [Bibliografía]


Aspectos patológicos de la lesión

H&E x 100

(62.6 KB)

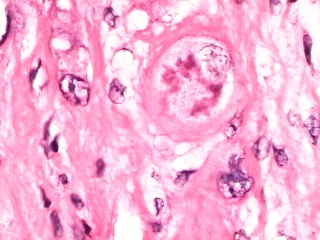
Figura 7: Vaso sanguíneo cuya pared ha sido extensamente substituída por trofoblasto intermedio, incluyendo algunas células endoteliales, parte de la pared del vaso tiene depósitos de material fibrinoide, se aprecia una mitosis (flecha) H&E 100x.

H & E 100 x

(107.0 KB)

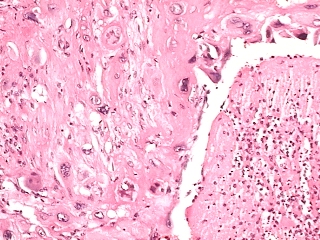
Figura 8: Otro aspecto de la infiltración del miometrio, se aprecia un vaso capilar con substitución del endotelio. H&E 100x

H&E x 100

(100 KB)

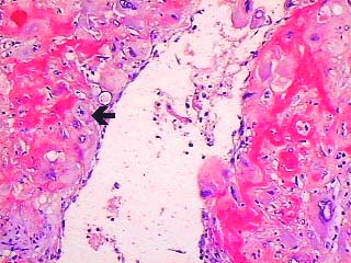
Figura 9:Algunas células de trofoblasto intermedio muestran acúmulos citoplásmicos de material eosinófilo, semejantes a los cuerpos hialinos de Mallory. H&E 100x.

H&E x 400

(78.9 KB)

Figura 10:Mayor detalle de una célula de trofoblasto intermedio con cuerpos semejantes a los hialinos de Mallory. H&E 400x.

H&E x 40

(76.4 KB)

Figura 11:Superficie endometrial en donde se aprecia reacción seudodecidual del estroma y glándulas dilatadas. H&E 40x.

H&E x 400

(54 KB)

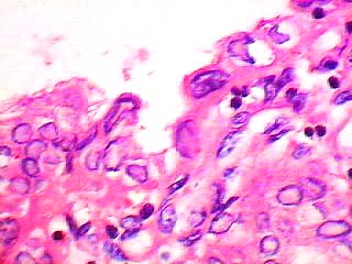
Figura 12: Mayor detalle de el epitelio glandulas endometrial con los característicos cambios nucleares de la reacción de Arias Stella, con pleomorfismo nuclear, cromatina alterada y núcleos opticamente claros. H&E 400x.

 


[Resumen] [Introducción] [Material y Métodos] [Resultados] [Iconografía 1] [Discusión] [Bibliografía]

Dr Eduardo Luévano Flores y Dr Jesús Roberto Durán Armendariz.
Copyright © 1998, Hospital Clínica del Parque. Reservados todos los derechos.