Póster
      Nº 020

IICVHAPp.gif (9537 bytes)

IndiceIndice

Tumor trofoblástico del sitio placentario posterior a mola hidatidiforme completa, reporte de un caso

Dr Eduardo Luévano Flores y Dr Jesús Roberto Durán Armendariz.

comenta.gif (3561 bytes)
[Comentarios]

[Resumen] [Introducción] [Material y Métodos] [Resultados] [Iconografía 2] [Discusión] [Bibliografía]


Aspectos patológicos de la lesión

Legrado H&E x 40

(73.6 KB)

Figura 1: Material del segundo legrado en donde se aprecian vellosidades coriales hidrópicas con las cisternas centrales características, el trofoblasto no es muy prominente. H&E 40x.

Aspecto macroscópico

(50.6 KB)

Figura 2:Aspecto macroscópico de la pared uterina, en donde se aprecia el nódulo en el espesor del miometrio, (flecha grande) la cavidad endometrial esta delimitada por las flechas vacías. la superficie endometrial del corte que mostró el nódulo se indica con la flecha blanca.

H&E x 10

(55.5 KB)

Figura 3:Vista panorámica del corte que muestra a la nodulación con una zona central con material fibrinoide, rodeada de un tejido pálido de límites imprecisos. H&E 10x.

H&E x 40

(73.5 KB)

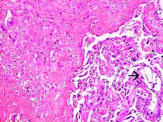
Figura 4:Porción de la orilla del nódulo, con células de trofoblasto intermedio, en la porción derecha se aprecia una célula vacuolada de tipo sincisiotrofoblasto (flecha). H&E 40x.

H&E x 40

(69.2 KB)

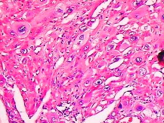
Figura 5: Miometrio vecino al nódulo infiltrado extensamente por células de trofoblasto intermedio, con algunas figuras de mitosis (flecha) H&E 100x.

H&E x 40

(69.4 KB)

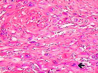
Figura 6: Otro aspecto del miometrio infiltrado por células de trofoblasto intermedio. H&E 100x.

 


[Resumen] [Introducción] [Material y Métodos] [Resultados] [Iconografía 2] [Discusión] [Bibliografía]

Dr Eduardo Luévano Flores y Dr Jesús Roberto Durán Armendariz.
Copyright © 1998, Hospital Clínica del Parque. Reservados todos los derechos.