Póster
      Nº 018

IICVHAPp.gif (9537 bytes)

IndiceIndice

LIPOMA ARBORESCENTE EXTRAARTICULAR

Mª Carmen Rufo Castaño, Juán López Garrido, Jesús Siles Cadillá, Antonio Robles Frías, Carlos Escudero Severín, Manuel Nevado Santos

Comentarios

[TITULO] [INTRODUCCIÓN] [DESCRIPCIÓN DEL CASO] [ICONOGRAFÍA] [COMENTARIOS]

DESCRIPCIÓN DEL CASO

COMENTARIOS


ICONOGRAFÍA

fig. 1
Figura 1.- Imagen macroscópica de un corte transversal de la formación sacular, mostrando una superficie externa lisa con lobulillos adiposos adheridos, y una interna de aspecto villositario pigmentado.

 

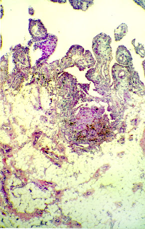
fig. 2
Figura 2.- Estructura vellositaria de la lesión, con ejes fibroadiposos revestidos por epitelio sinovial (H&E 40x).

 

fig. 3
Figura 3.- Áreas inflamatorias con abundantes siderófagos, responsables del aspecto macroscópico pigmentado de la superficie interna de la lesión (H&E 40x).

 


[TITULO] [INTRODUCCIÓN] [DESCRIPCIÓN DEL CASO] [ICONOGRAFÍA] [COMENTARIOS]

DESCRIPCIÓN DEL CASO

COMENTARIOS


Mª Carmen Rufo Castaño, Juán López Garrido, Jesús Siles Cadillá, Antonio Robles Frías, Carlos Escudero Severín, Manuel Nevado Santos
Copyright © 1998. Reservados todos los derechos.